Clinicopathological analysis of ovarian tumors in perimenopausal women: A study in a rural teaching hospital of eastern India
DOI:
https://doi.org/10.3329/bjms.v12i3.12232Keywords:
Ovarian tumor, perimenopausal age group, histological typeAbstract
Introduction: Ovarian tumors are important in perimenopausal women as they are more likely to be malignant.
Aim: The aim was to study the various histological pattern of ovarian tumors and their clinical presentation in perimenopausal age group.
Materials and Methods: The study was carried out in the departments of Gynaecology and Obstetrics and Pathology in a teaching hospital for two years from June 2007 to May 2009. All patients presented with ovarian tumors of perimenopausal age group (40-50 years) were included. Detailed clinical information, radiological findings and histopathological reports were recorded.
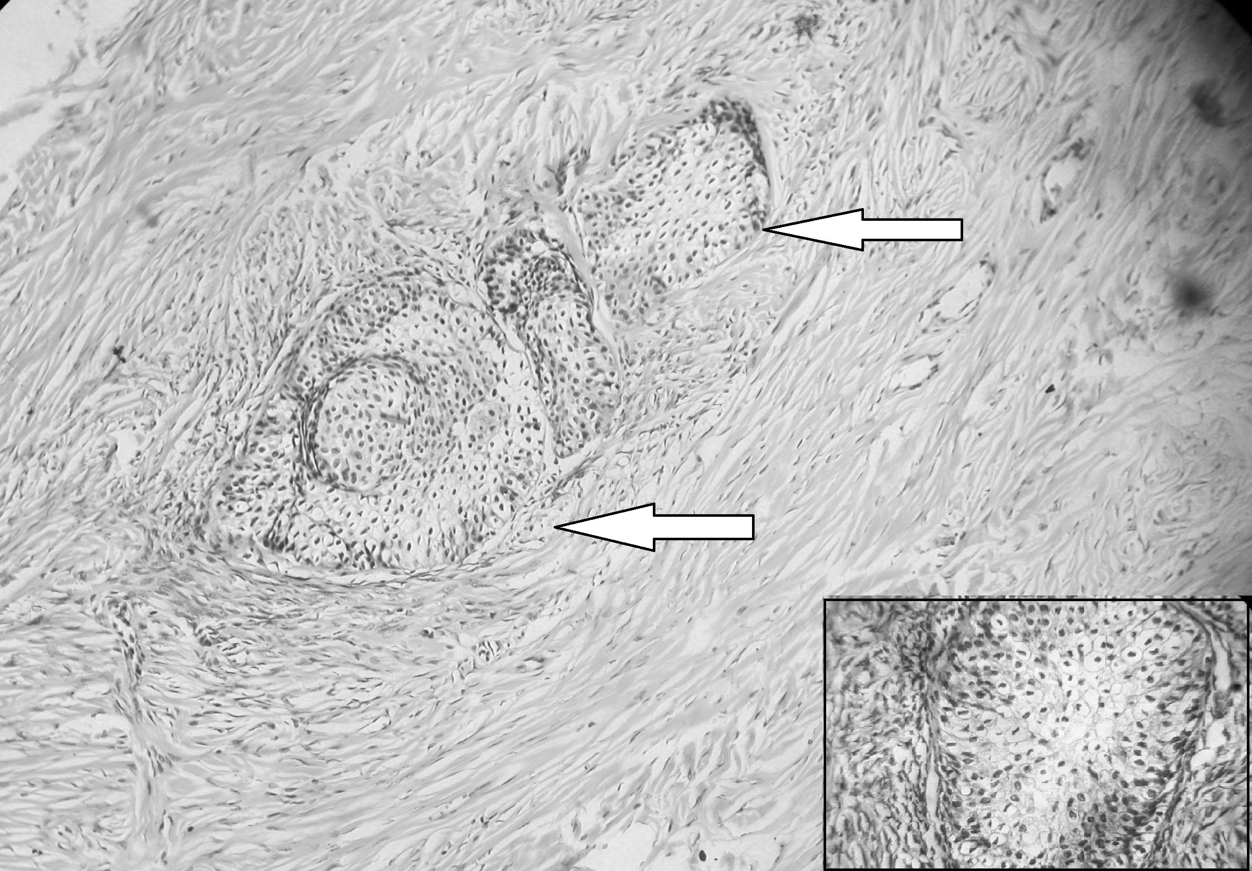
Results: A total 52 ovarian tumors were included in this study. Most common histological types were surface epithelial tumors (92.3%), out of which 54.2% were benign, 41.7% were malignant and 4.2% were borderline. Serous cystadenoma was the most common benign tumor and serous cystadenocarcinoma was the commonest malignant tumor. Abdominal discomfort was the commonest presenting symptom both in benign and malignant tumors (85.7% and 45.4% respectively). Most of the malignant tumors were presented in stage III (50%), followed by stage II (27.3%).
Conclusion: In this study, we found a relatively higher proportion of ovarian malignancies. So, any ovarian tumor in perimenopausal age group is more likely to be malignant and that require a thorough evaluation and management. Further research should be advocated in this field.
Bangladesh Journal of Medical Science Vol. 12 No. 03 July 13 Page 263-268
DOI: http://dx.doi.org/10.3329/bjms.v12i3.12232
Downloads
404
247
Downloads
Published
How to Cite
Issue
Section
License
Authors who publish in the Bangladesh Journal of Medical Science agree to the following terms that:
- Authors retain copyright and grant Bangladesh Journal of Medical Science the right of first publication of the work.

Articles in Bangladesh Journal of Medical Science are licensed under a Creative Commons Attribution 4.0 International License CC BY-4.0.This license permits use, distribution and reproduction in any medium, provided the original work is properly cited.- Authors are able to enter into separate, additional contractual arrangements for the distribution of the journal's published version of the work (e.g., post it to an institutional repository or publish it in a book), with an acknowledgement of its initial publication in this journal.
- Authors are permitted to post their work online (e.g., in institutional repositories or on their website) as it can lead to productive exchanges, as well as greater citation of published work.