Atypical Radiographic Presentation of Adenocarcinoma Lung
DOI:
https://doi.org/10.3329/bjms.v13i1.13037Keywords:
adenocarcinoma, lung, cavitary metastasisAbstract
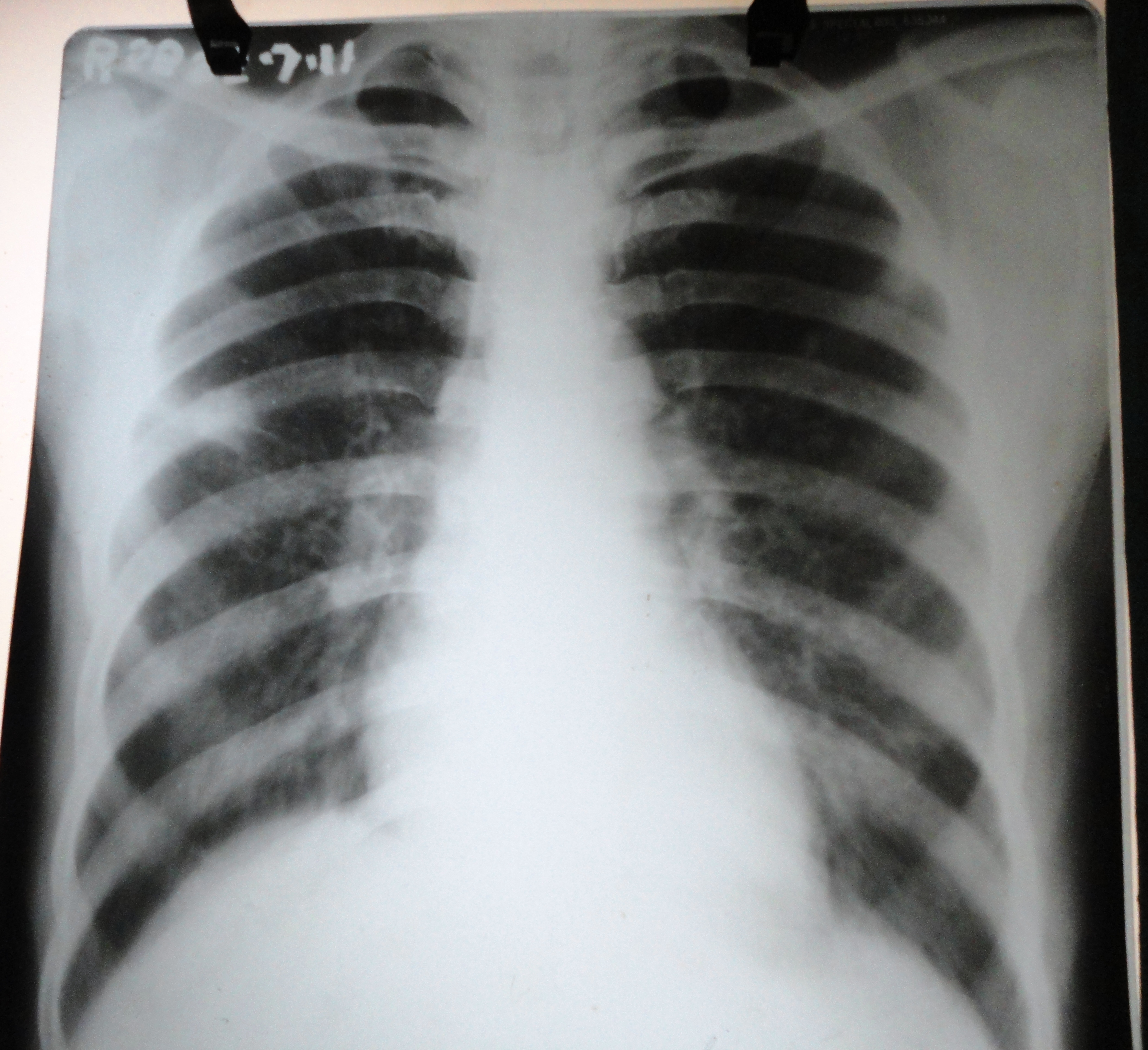
Adenocarcinoma and squamous cell carcinoma are the most frequently diagnosed histological subtype of bronchogenic carcinomas. Though metastatic lesions in lung are common in both the varieties, cavity formation has been documented only with squamous cell type. Here we are going to report a case of pulmonary adenocarcinoma with multiple nodular metastases in both lungs which show central necrosis mimicking cavities.
DOI: http://dx.doi.org/10.3329/bjms.v13i1.13037
Bangladesh Journal of Medical Science Vol. 13 No. 01 January2014: 70-72
Downloads
266
235
Downloads
Published
How to Cite
Issue
Section
License
Authors who publish in the Bangladesh Journal of Medical Science agree to the following terms that:
- Authors retain copyright and grant Bangladesh Journal of Medical Science the right of first publication of the work.

Articles in Bangladesh Journal of Medical Science are licensed under a Creative Commons Attribution 4.0 International License CC BY-4.0.This license permits use, distribution and reproduction in any medium, provided the original work is properly cited.- Authors are able to enter into separate, additional contractual arrangements for the distribution of the journal's published version of the work (e.g., post it to an institutional repository or publish it in a book), with an acknowledgement of its initial publication in this journal.
- Authors are permitted to post their work online (e.g., in institutional repositories or on their website) as it can lead to productive exchanges, as well as greater citation of published work.