Clinico-pathological study of 273 cases of rhinosporidiosis over a period of ten years in a tertiary care institute catering predominantly rural population of tribal origin
DOI:
https://doi.org/10.3329/bjms.v14i2.16151Keywords:
rhinosporidiosis, nasal and extra-nasal, cytology, haematological profile, rural and tribal population, clinico-pathological studyAbstract
Introduction: Rhinosporidiosis is a chronic granulomatous infection caused by Rhinosporidium seeberi, an organism whose taxonomy is still debated. The present study was aimed to document the clinico-pathological presentation of rhinosporidiosis in different parts in reference to caste, age and gender. Evaluation of diagnostic role of cytology in the diagnosis of rhinosporidiosis was also explored.
Materials and Methods: All histology confirmed rhinosporidial cases were included in the study. Detailed clinical history and examination findings including previous hematological and cytological reports, if available, were collected and tabulated. Periodic Acid Schiff (PAS) and Mucicarmine stains were used over cyto- and histological slides, if necessary.
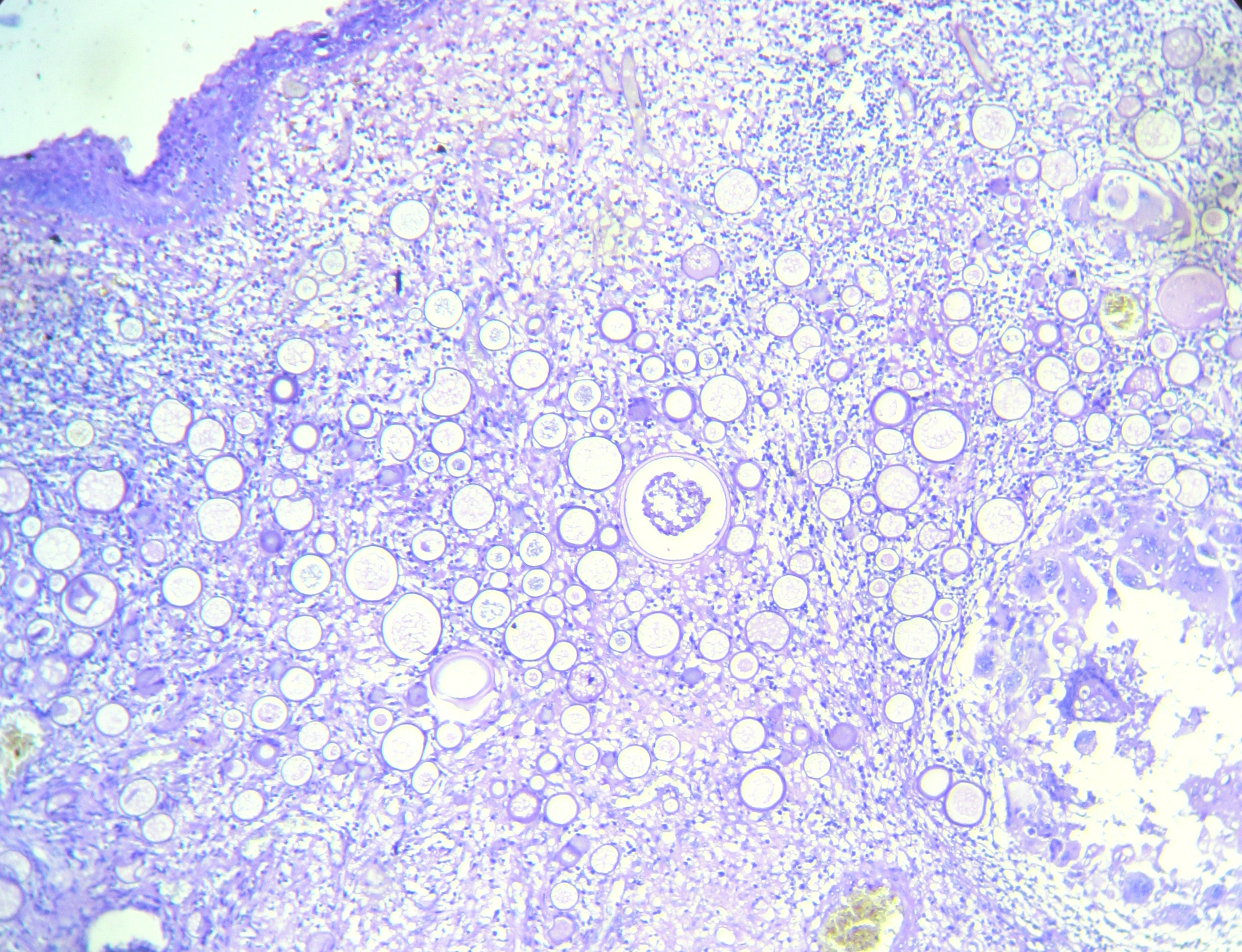
Observations: Male cases were more frequent in these series though this sex difference is less pronounced among tribal population. Majority of the cases belonged to 21-40 years age group. Nose and nasopharynx was the commonest site of infection and polypoid mass lesions were the commonest presentation. Both scrape and aspiration cytology could successfully detect rhinosporidiosis in 100% cases.
Discussion: Most of the cases are among poor-socioeconomic status and probably out-door activities and pond bathing habit. Haematological data correlation did not revealed any significant association. Histology is the preferred method for confirmed diagnosis of rhinosporidiosis. Rare cases of misdiagnosis can be avoided by use of special stains.
Conclusion: Rhinosporidiosis commonly presents as polypoidal lesions in nose and extra-nasal sites. Histopathology is the standard method for confirmation of diagnosis. Cytology can be used as an adjunct for pre-operative diagnosis of extra-nasal rhinosporidiosis. We recommended use of special stains for diagnosis of difficult cases.
Bangladesh Journal of Medical Science Vol.14(2) 2015 p.159-164
Downloads
394
426
Downloads
Additional Files
Published
How to Cite
Issue
Section
License
Authors who publish in the Bangladesh Journal of Medical Science agree to the following terms that:
- Authors retain copyright and grant Bangladesh Journal of Medical Science the right of first publication of the work.

Articles in Bangladesh Journal of Medical Science are licensed under a Creative Commons Attribution 4.0 International License CC BY-4.0.This license permits use, distribution and reproduction in any medium, provided the original work is properly cited.- Authors are able to enter into separate, additional contractual arrangements for the distribution of the journal's published version of the work (e.g., post it to an institutional repository or publish it in a book), with an acknowledgement of its initial publication in this journal.
- Authors are permitted to post their work online (e.g., in institutional repositories or on their website) as it can lead to productive exchanges, as well as greater citation of published work.