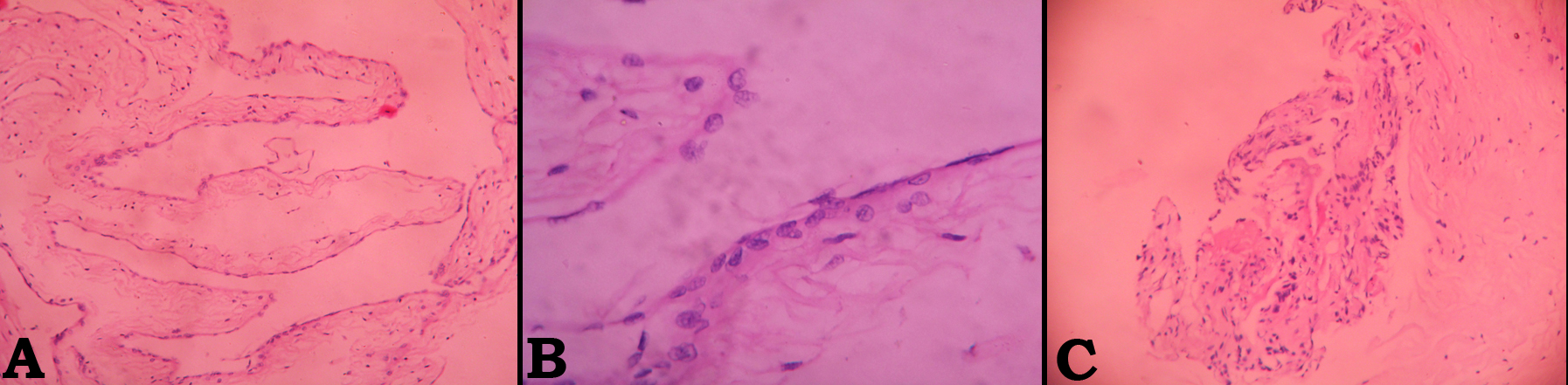
Sacral arachnoid cyst presenting as chronic low back pain
DOI:
https://doi.org/10.3329/bjms.v14i1.16191Keywords:
perineural cyst, sacral Tarlov cyst, spinal arachnoid cyst, arachnoid cystAbstract
DOI: http://dx.doi.org/10.3329/bjms.v14i1.16191
Bangladesh Journal of Medical Science Vol.14(1) 2015 p.106-108
Downloads
Download data is not yet available.
Abstract
282
282
PDF
276
276
Downloads
Additional Files
Published
2014-11-19
How to Cite
Agrawal, A., Santhi, V., & Rao, G. M. (2014). Sacral arachnoid cyst presenting as chronic low back pain. Bangladesh Journal of Medical Science, 14(1), 106–108. https://doi.org/10.3329/bjms.v14i1.16191
Issue
Section
Brief Communications
License
Authors who publish in the Bangladesh Journal of Medical Science agree to the following terms that:
- Authors retain copyright and grant Bangladesh Journal of Medical Science the right of first publication of the work.

Articles in Bangladesh Journal of Medical Science are licensed under a Creative Commons Attribution 4.0 International License CC BY-4.0.This license permits use, distribution and reproduction in any medium, provided the original work is properly cited.- Authors are able to enter into separate, additional contractual arrangements for the distribution of the journal's published version of the work (e.g., post it to an institutional repository or publish it in a book), with an acknowledgement of its initial publication in this journal.
- Authors are permitted to post their work online (e.g., in institutional repositories or on their website) as it can lead to productive exchanges, as well as greater citation of published work.