Annular Elastolytic Giant Cell Granuloma - A Rare Case with Systemic Involvement
DOI:
https://doi.org/10.3329/bjms.v15i3.29036Keywords:
annular elastolytic granuloma, liver nodules, Barrets oesophagusAbstract
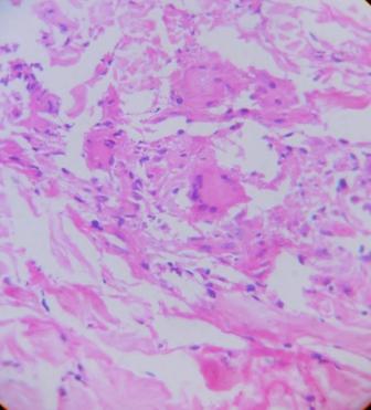
Annular elastolytic giant cell granuloma (AEGCG) is a rare granulomatous dermatosis characterized by loss of elastic fibers and elastophagocytosis by multinucleated giant cells. It is characterized by annular plaques that are similar to those observed in granuloma annulare but that specifically appear in sun-exposed skin and occurs more commonly in females than males. There have been reported cases of AEGCG associated with diabetes mellitus, systemic sarcoidosis, cutaneous amyloidosis, molluscum contagiosum, squamous cell carcinoma of the lung and cutaneous T-cell lymphoma. We report a case of AEGCG in both sun-exposed as well as covered areas of a middle aged lady with hepatic nodules and Barrets esophagus.
Bangladesh Journal of Medical Science Vol.15(3) 2016 p.488-491
Downloads
137
211
Downloads
Additional Files
Published
How to Cite
Issue
Section
License
Authors who publish in the Bangladesh Journal of Medical Science agree to the following terms that:
- Authors retain copyright and grant Bangladesh Journal of Medical Science the right of first publication of the work.

Articles in Bangladesh Journal of Medical Science are licensed under a Creative Commons Attribution 4.0 International License CC BY-4.0.This license permits use, distribution and reproduction in any medium, provided the original work is properly cited.- Authors are able to enter into separate, additional contractual arrangements for the distribution of the journal's published version of the work (e.g., post it to an institutional repository or publish it in a book), with an acknowledgement of its initial publication in this journal.
- Authors are permitted to post their work online (e.g., in institutional repositories or on their website) as it can lead to productive exchanges, as well as greater citation of published work.