Preoperative malignant looking retrobulbar, infratemporal and middle cranial fossa tuberculoma in a young child - a case report
DOI:
https://doi.org/10.3329/bjms.v13i3.7518Keywords:
preoperatively malignant looking, retrobulbar infratemporal and middle cranial fossa, tuberculomaAbstract
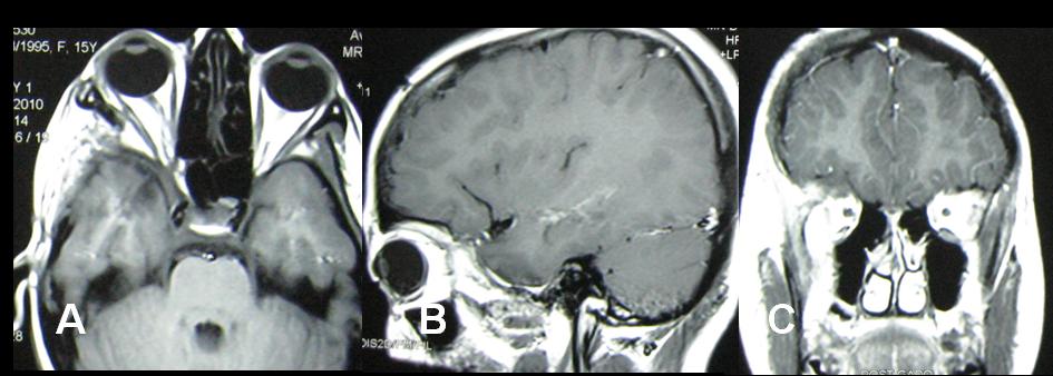
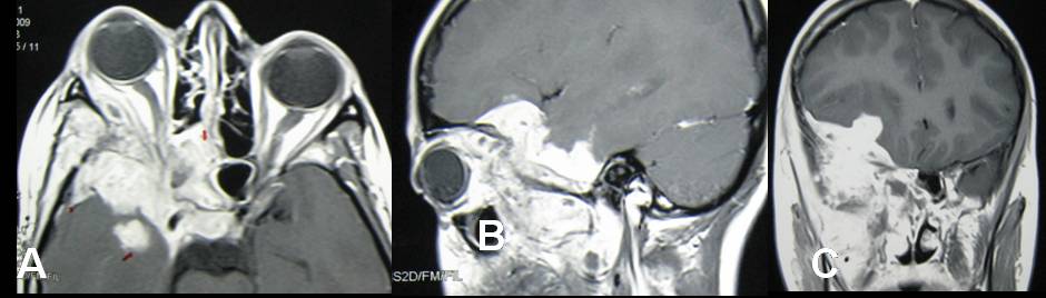
Tuberculosis involving skull base and brain is relatively common in developing countries. Preoperative neuro-radiological features of such lesions mimic neoplastic lesions of brain & skull base and postoperative histopathological study brings the ultimate diagnosis. Here we present a case of large tubercular lesion involving retrobulbar, infratemporal and middle cranial fossa that preoperatively thought to be a malignant lesion in a young child and was managed surgically with anti-tubercular drugs having a happy termination. Even radiologically malignant looking mass lesion in brain and skull base can be proved as tuberculosis that can bring happiness to the patient and also to the treating neurosurgeons.
DOI: http://dx.doi.org/10.3329/bjms.v13i3.7518
Bangladesh Journal of Medical Science Vol.13(3) 2014 p.323-325
Downloads
301
231
Downloads
Published
How to Cite
Issue
Section
License
Authors who publish in the Bangladesh Journal of Medical Science agree to the following terms that:
- Authors retain copyright and grant Bangladesh Journal of Medical Science the right of first publication of the work.

Articles in Bangladesh Journal of Medical Science are licensed under a Creative Commons Attribution 4.0 International License CC BY-4.0.This license permits use, distribution and reproduction in any medium, provided the original work is properly cited.- Authors are able to enter into separate, additional contractual arrangements for the distribution of the journal's published version of the work (e.g., post it to an institutional repository or publish it in a book), with an acknowledgement of its initial publication in this journal.
- Authors are permitted to post their work online (e.g., in institutional repositories or on their website) as it can lead to productive exchanges, as well as greater citation of published work.