Effect of Sechium edule on chemical induced kidney damage in experimental animals

Authors

  • Sayeed Mohammed Firdous Mumtaz Department of Pharmacology, Calcutta Institute of Pharmaceutical Technology & AHS, Uluberia, Howrah 711316, West Bengal
  • Shounak Paul Department of Pharmacology, Calcutta Institute of Pharmaceutical Technology and AHS, Uluberia, Howrah
  • Anupam Kanti Bag Department of Pharmacology, Ratnam Institute of Pharmacy, Pidathapolur Village, Muthukur SPSR Nellore, Andhra Pradesh

DOI:

https://doi.org/10.3329/bjp.v8i1.12982

Keywords:

Diabetic nephropathy, Gentamicin, Potassium dichromate, Sechium edule, Streptozotocin

Abstract

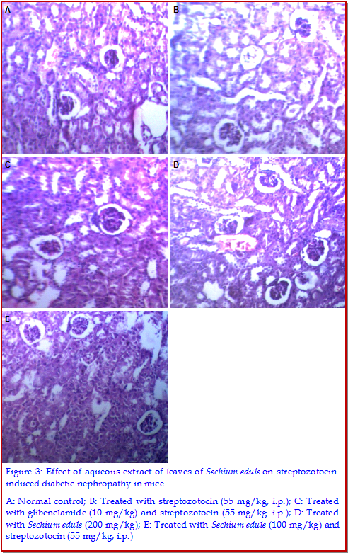
The aqueous extract of leaves of Sechium edule was evaluated for its protective activity against gentamicin, potassium dichromate-induced nephrotoxicity and streptozotocin-induced diabetic nephropathy in experimental animals. In these three conditions, the extract of S. edule (200 mg/kg) has significantly (p<0.001) decreased the level of blood urea, blood urea nitrogen and serum creatinine and also significantly (p<0.001) increased the serum levels of total protein. The serum uric acid level was also significantly (p<0.001) decrease in diabetic mice treated with the extract (200 mg/kg).  The extract also improves the histology of the kidney. The results indicate that aqueous extract of leaves of S. edule has possessed protective effect against gentamicin- and potassium dichromate-induced nephrotoxicity and streptozotocin-induced diabetic nephropathy in experimental animals.

Downloads

Download data is not yet available.
Abstract
598
Download
562 Read
65

Author Biography

Sayeed Mohammed Firdous Mumtaz, Department of Pharmacology, Calcutta Institute of Pharmaceutical Technology & AHS, Uluberia, Howrah 711316, West Bengal

Assistant Professor

References

Albone KS, Gaskin P, MacMillan J, Sponsel VM. Identification and localization of gibberlins in maturing seed of cucurbit Sechium edule, and a comparison between this cucurbit and the legume Phaseolus coccineus. Planta springer-verla. 1984; 162: 560-65.

Firdous SM, Sravanthi K, Debnath R, Neraja K. Protective effect of ethanolic extract and its ethylacetate and n-butanol fractions of Sechium edule fruits against carbon tetrachloride induced hepatic injury in rats. Int J Pharm Pharm Sci. 2012; 4: 354-59.

Firdous SM, Neraja K, Debnath R, Singha D, Sravanthi K. Evaluation of antiulcer activity of ethanolic extract of Sechium edule fruits in experimental rats. Int J Pharm Pharm Sci. 2012; 4: 374-77.

Franchini I, Mutti A, Cavatorta A, Corradi A, Cosi A, Olivetti G, Borghetti A. Nephrotoxicity of chromium. Remarks on an experimental and epidemiological investigation. Contrib Nephrol. 1978; 10: 98110.

Gordon EA, Guppy LJ, Nelson M. The antihypertensive effects of the Jamaican Cho-Cho (Sechium edule). West Ind Med J. 2000; 49: 27-31.

Harborne JB. Textbook of phytochemical methods. 1st ed. London, Champraan and Hall Ltd., 1973, pp 110-13.

Harlalka GV, Patil CR, Patil MR. Protective effect of Kalanchoe pinnata pers. (crassulaceae) on gentamicin-induced nephrotoxicity in rats. Indian J Pharmacol. 2007; 39: 201-05.

Kamble MB, Dumbre RK, Rangari VD. Hepatoprotective activity studies of herbal formulations. Int J Green Pharm. 2008; 2: 147-51.

Lelli JL, Becks LL, Dabrowska MI, Hinshaw DB. ATP converts necrosis to apoptosis in oxidant-injured endothelial cells. Free Radic Biol Med. 1998; 25: 694702.

Parveen K, Khan R, Siddiqui WA. Pycnogenol prevents potassium dichromate (K2Cr2O7)-induced oxidative damage and nephrotoxicity in rats. Chemico-Biol Interact. 2009; 181: 34350.

Pedraza-Chaverri J, Barrera D, Medina-Campos ON, Carvajal RC, Hernández-Pando R, Macías-Ruvalcaba NA, Maldonado PD, Salcedo MI, Tapia E, Saldívar L, Castilla ME, Ibarra-Rubi ME. Time course study of oxidative and nitrosative stress and antioxidant enzymes in K2Cr2O7 induced nephrotoxicity. BMC Nephrol. 2005; 26: 4.

Poormoosavi SM, Behmanesh MA, Najafzadeh H. Effect of cimetidine on gentamicin-losartan induced-nephrotoxicity in rats. Afr J Pharm Pharmacol. 2010; 4: 341-45.

Punitha ISR, Shirwaikar A, Shirwaikar A. Antidiabetic activity of benzyl tetra isoquinoline alkaloid berberine in streptozotocin nicotinamide induced type 2 diabetic rats. Diabetologia Croatica. 2005; 34: 117-28.

OECD, 2002. Acute oral toxicity. Acute oral toxic class method guideline 423 adopted 23.03.1996. In: Eleventh Addendum to the OECD guidelines for the testing of chemicals organisation for economic co-operation development, Paris, June, 2000.

Ordonez AA, Gomez JD, Isla MA. Antioxidant activities of Sechium edule (Jacq.) Swartz extracts. Food Chem. 2006; 97: 452-58.

Shi X, Chiu A, Chen CT, Halliwell B, Castranova V, Vallyathan V. Reduction of chromium (VI) and its relationship to carcinogenesis. J Toxicol Environ Health. 1999; 2: 87-104.

Siciliano T, De Tommasi N. Study of Flavonoids of Sechium edule (Jacq) swartz (Cucurbitaceae) Different Edible Organs by Liquid Chromatography Photodiode array Mass Spectrometry. J Agric Food Chem. 2004; 52: 651015.

Siddiqui O, Sun Y, Lin JC, Chien YW. Facilitated transdermal transport of insulin. J Pharm Sci. 1987; 76: 341-45.

Vozari-Hampe MM, Viegas C, Saucedo C, Rosseto S, Manica GG, Hampe OG. A lectin from Sechium edule fruit exudates. Phytochem. 1992; 31: 1477-80.

Wilson JS, Ganesan K, Palanisamy M. Effect of sinapic acid on biochemical markers and histopathological studies in normal and streptozotocin-induced diabetes in wistar rats. Int J Pharm Pharm Sci. 2011; 3(4 Suppl): 115-20.

Published

2012-12-28

How to Cite

Mumtaz, Sayeed Mohammed Firdous, et al. “Effect of Sechium Edule on Chemical Induced Kidney Damage in Experimental Animals”. Bangladesh Journal of Pharmacology, vol. 8, no. 1, Dec. 2012, pp. 28-35, doi:10.3329/bjp.v8i1.12982.

Issue

Section

Research Articles