Hepatoprotective activity of aqueous methanolic extract of Morus nigra against paracetamol-induced hepatotoxicity in mice
DOI:
https://doi.org/10.3329/bjp.v9i1.17337Keywords:
Hepatoprotective, Morus nigra, ParacetamolAbstract
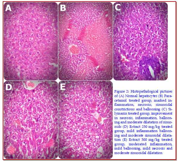
Morus nigra (Family Moraceae) is traditionally used injaundice, diabetes, hypertension, cough, fever and cancer. The current study was conducted to determine hepatoprotective activity of aqueous methanolic extract of leaves of M. nigra. Two doses of 250 mg/kg p.o and 500 mg/kg p.o showed that extract of M. nigra produced significant (p<0.001) reduction in liver enzymes (ALT, AST, ALP) and total bilirubin induced by paracetamol and the results are comparable to silymarin (p<0.001). Results were supported by histopathological investigations, phytochemical screening and detection of active constituents by HPLC. The current study showed that aqueous methanolic extract of M. nigra possess hepatoprotective activity that might be due to quercetin, luteolin and isorhamnetin. It was concluded from this study that M. nigra has hepatoprotective activity against paracetamol induced liver injury in mice.
Downloads
981
471 Read
46
References
Abbasi AM, Khan MA, Ahmad M, Zafar M, Khan H, Muhammad N, Sultana S. Medicinal plants used for the treatment of jaundice and hepatitis based on socio-economic documentation. Afr J Biotechnol. 2009; 8: 1643-50.
Ahmad M, Mahmood Q, Gulzar K, Akhtar MS, Saleem M, Qadir MI. Antihyperlipidaemic and hepatoprotective activity of Dodonaea viscosa leaves extracts in alloxan-induced diabetic rabbits (Oryctolagus cuniculus). Pakistan Vet J. 2012; 32: 50-54.
Akhtar MS, Asjad HMM, Bashir S, Malik A, Khalid R, Gulzar F, Irshad N. Evaluation of anti-oxidant and hepatoprotective effects of Khamira Gaozaban Ambri Jadwar Ood Saleeb Wala (KGA). Bangladesh J Pharmacol. 2013; 8: 44-48.
Ali M, Qadir MI, Saleem M, Janbaz KH, Gul H, Hussain L, Ahmed B. Hepatoprotective potential of Convolvulus arvensis against paracetamol-induced hepatotoxicity. Bangladesh J Pharmacol. 2013; 8: 300-04.
Amin N, Qadir MI, Khan TJ, Abbas G, Ahmad B,Janbaz KH,Ali M. Antibacterial activity of vacuum liquid chromatography (VLC) isolated fractions of chloroform extracts of seeds of Achyranthes aspera. J Chem Soc Pakistan. 2012; 34: 589-92.
An RB, Kim HC, Tian YH, Kim YC. Free radical scavenging and hepatoprotective constituents from the leaves of Juglans sinensis. Arch Pharmacal Res. 2005; 28: 529-33.
Bag AK, Mumtaz SMF. Hepatoprotective and nephroprotective activity of hydroalcoholic extract of Ipomoea staphylina leaves. Bangladesh J Pharmacol. 2013; 8: 263-68.
Balamurugan G, Muthusamy P. Observation of the hepatoprotective and anti-oxidant activities of Trianthema decandra Linn. (Vallaisharunnai) roots on carbon tetrachloride-treated rats. Bangladesh J Pharmacol. 2008; 3: 83-89.
Domitrović R, Jakovac H, Milin Č, Radošević-Stašić B. Dose- and time-dependent effects of luteolin on carbon tetrachloride-induced hepatotoxicity in mice. Exp Toxicol Pathol. 2009; 61: 581-89.
Ehsan O, Qadir MI, Malik SA, Abbassi WS, Ahmad B. Efficacy of nanogold-insulin as a hypoglycemic agent. J Chem Soc Pakistan. 2012; 34: 365-70.
Fakhree MAA, Nazemiyeh H. Are anthocyanins and flavonoids responsible for the blood pressure lowering effect and antiplatelet activity of Morus nigra? Biomed Int. 2012; 2: 97-98.
Farhan H, Rammal H, Hijazi A, Badran B. Preliminary phytochemical screening and extraction of polyphenol from stems and leaves of a Lebanese plant Malva parviflora L. Int J Curr Pharm Res. 2012; 4: 55-59.
Girish C, Koner BC, Jayanthi S, Ramachandra Rao K, Rajesh B, Pradhan SC. Hepatoprotective activity of picroliv, curcumin and ellagic acid compared to silymarin on paracetamol-induced liver toxicity in mice. Fundam Clin Pharmacol. 2009; 23: 735-45.
Hegde K, Joshi AB. Hepatoprotective and antioxidant effect of Carissa spinarum root extract against CCl4 and paracetamol induced hepatic damage in rats. Bangladesh J Pharmacol. 2010; 5: 73-76.
Hosseinzadeh H, Sadeghi A. Antihyperglycemic effects of Morus nigra and Morus alba in mice. Pharm Pharmacol Lett. 1999: 9: 63-65.
Hussain A, Khalid SH, Qadir MI, Massud A, Ali M, Khan IU, Saleem M, Iqbal MS, Asghar S, Gul H. Water uptake and drug release behaviour of methyl methacrylate-co-itaconic acid [P(MMA/IA)] hydrogels cross-linked with methylene bis-acrylamide. J Drug Deliv Sci Tech. 2011; 21: 249-55.
Iwalokun BA, Efedede BU, Alabi-Sofunde JA, Oduala T, Magbagbeola OA, Akinwande AI.. Hepatoprotective and antioxidant activities of Vernonia amygdalina on acetaminophen-induced hepatic damage in mice. J Med Food. 2006; 9: 524-30.
Jain A, Soni M, Deb L, Jain A, Rout SP, Gupta VP, Krishna KL. Antioxidant and hepatoprotective activity of ethanolic and aqueous extracts of Momordica dioica Roxb. Leaves. J Ethnopharmacol.2008; 115: 61-66.
Janbaz KH, Nisar U, Ashraf M, Qadir MI. Spasmolytic, bronchodilator and antioxidant activities of Erythrina superosa Roxb. Acta Pol Pharm. 2012; 69: 1111-17.
Janbaz KH, Saeed SA, Gilani, AH. Studies on the protective effects of caffeic acid and quercetin on chemical-induced hepatotoxicity in rodents. Phytomedicine 2004; 11: 424-30.
Javed F, Qadir MI, Janbaz KH, Ali M. Novel drugs from marine microorganisms. Cr Rev Microbiol. 2011; 37: 245–49.
Khalid SH, Qadir MI, Massud A, Ali M, Rasool MH. Effect of degree of cross-linking on swelling and drug release behaviour of poly (methyl methacrylate-co-itaconic acid) [P(MMA/IA)] hydrogels for site specific drug delivery. J Drug Deliv Sci Tech. 2009; 19: 413-18.
Khan AZ, Mohammad A, Iqbal Z, Anis I, Shah MR, Nadeem S, Rabnawaz M, Shahidullah A, Khan H, Khan I. Molecular docking of viscosine as a new lipoxygenase inhibitor isolated from Dodonaea viscose. Bangladesh J Pharmacol. 2013; 8: 36-39.
Khan YH, Mallhi TH, Sarriff A, Khan AH. Osteoporosis: Are healthcare professionals missing an opportunity. Springer Plus. 2013; 2: 1-5.
Khan YH, Sarriff A, Khan AH. A review of knowledge, attitude and practices (Kap) of community population towards osteoporosis. J Appl Pharm. 2012; 4: 628.
Kim DW, Kim KM, Choi JS, Lee SM. Isorhamnetin-3-O-galactoside protects against CCl4-induced hepatic injury in mice. Biomol Ther. 2012; 20: 406-12.
Kumar V, Chauhan S. Mulberry: Life enhancer. J Med Plant Res. 2008; 2: 271-78.
Malik MNH, Alamgeer US, Qayyum A, Samreen S. Phytochemical analysis and cardiac depressant activity of aqueous methanolic extract of Morus nigra L. Fruit. J Appl Pharm Sci. 2012; 2: 39-41.
Masood MI, Qadir MI, Shirazi JH, Khan IU. Beneficial effects of lactic acid bacteria on human beings. Cr Rev Microbiol. 2011; 37: 91-98.
Mazimba O, Majinda RR, Motlhanka D. Antioxidant and antibacterial constituents from Morus nigra. Afr J Pharm Pharmacol. 2011; 5: 751-54.
Naz S, Qadir MI, Ali M, Janbaz KH. Nanotechnology for imaging and drug delivery in cancer. J Chem Soc Pakistan. 2011; 34: 107-11.
Oh H, Kim DH, Cho JH, Kim YC. Hepatoprotective and free radical scavenging activities of phenolic petrosins and flavonoids isolated from Equisetum arvense. J Ethnopharmacol. 2004; 95: 421-24.
Özgen M, Serçe S, Kaya C. Phytochemical and antioxidant properties of anthocyanin-rich Morus nigra and Morus rubra fruits. Sci Hortic. 2009; 119: 275-79.
Padilha MM, Vilela FC, da Silva MJD, dos Santos MH, Alves-da-Silva G, Giusti-Paiva A. Antinociceptive effect of the extract of Morus nigra leaves in mice. J Med Food. 2009; 12: 1381-85.
Padilha MM, Vilela, FC, Rocha CQ, Dias MJ, Soncini R, dos Santos MH, da‐Silva GA, Giusti-Paiva, A. Antiinflammatory properties of Morus nigra leaves. Phytother Res. 2010; 24: 1496–500.
Pawlowska AM, Oleszek W, Braca A. Quali-quantitative analyses of flavonoids of Morus nigra L. and Morus alba L. (Moraceae) fruits. J Agric Food Chem. 2008; 56: 3377-80.
Qadir MI. Medicinal and cosmetological importance of Aloe vera. Int J Nat Ther. 2009; 2: 21-26.
Qadir MI. Medicinal values of ginger. Int J Nat Ther. 2009; 3: 19-22.
Qadir MI. Qadirvirtide. Pak J Pharm Sci. 2011; 24: 593-95.
Sabir SM, Rocha JBT. Antioxidant and hepatoprotective activity of aqueous extract of Solanum fastigiatum (false “Jurubeba”) against paracetamol-induced liver damage in mice. J Ethnopharmacol. 2008; 120: 226-32.
Saboo SS, Tapadiya G, Farooqui IA, Khadabadi SS. Free radical scavenging, in vivo anti-oxidant and Hepatoprotective activity of folk medicine Trichodesma sedgwicki anum. Bangladesh J Pharmacol. 2013; 8: 58-64.
Saddiqe Z, Naeem I, Maimoona A, Sautreau A, Hellio C. 2011. Assay of flavonoid aglycones with HPLC in four species of genus Hypericum. J Med Plants Res. 2011: 5: 1526-30.
Sadeque MZ, Begum ZA. Protective effect of dried fruits of Carica papaya on hepatotoxicity in rat. Bangladesh J Pharmacol.2010; 5: 48-50.
Shanmugasundaram P, Venkataraman S. Hepatoprotective and antioxidant effects of Hygrophila auriculata (K. Schum) Heine Acanthaceae root extract. J Ethnopharmacol. 2006; 104: 124-28.
Thakare SP, Jain HN, Patil SD, Upadhyay UM. Hepatoprotective effect of Cocculus hirsutus on bile duct ligation-induced liver fibrosis in Albino Wistar rats. Bangladesh J Pharmacol. 2009; 4: 126-30.
Vimal V, Devaki T. Hepatoprotective effect of allicin on tissue defense system in galactosamine/endotoxin challenged rats. J Ethnopharmacol. 2004; 90: 151-54.
Volpato GT, Calderon IMP, Sinzato S, Campos KE, Rudge MVC, Damasceno DC. Effect of Morus nigra aqueous extract treatment on the maternal–fetal outcome, oxidative stress status and lipid profile of streptozotocin-induced diabetic rats. J Ethnopharmacol. 2011; 138: 691-96.

Published
How to Cite
Issue
Section
License
Authors who publish with this journal agree to the following terms:
- Authors retain copyright and grant the journal right of first publication with the work simultaneously licensed under a Creative Commons Attribution License that allows others to share the work with an acknowledgement of the work's authorship and initial publication in this journal.
- Authors are able to enter into separate, additional contractual arrangements for the non-exclusive distribution of the journal's published version of the work (e.g., post it to an institutional repository or publish it in a book), with an acknowledgement of its initial publication in this journal.
- Authors are permitted and encouraged to post their work online (e.g., in institutional repositories or on their website) prior to and during the submission process, as it can lead to productive exchanges, as well as earlier and greater citation of published work (See The Effect of Open Access).