Amelioration of carbon tetrachloride- and paracetamol-induced hepatotoxicity in rats by Ficus dalhousiae
DOI:
https://doi.org/10.3329/bjp.v9i4.20515Keywords:
Carbon tetrachloride, Ficus dalhousiae, Hepatoprotective activity, ParacetamolAbstract
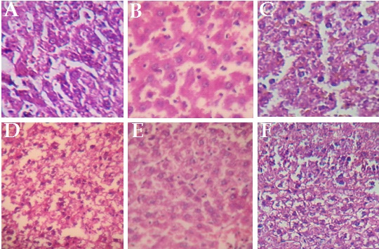
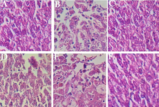
The present study was undertaken to investigate hepatoprotective activity of Ficus dalhousiae leaves ethanolic extract based on its traditional claim. Paracetamol- and carbon tetrachloride-induced hepatotoxicity in albino Wistar rats, experimental models was used for the evaluation. Various biochemical parameters like SGPT, SGOT, serum albumin, alkaline phosphatase, total bilirubin, direct bilirubin and total protein were estimated. Oral treatment with the extract 250 and 500 mg/kg, significantly (p<0.01) altered all the serum marker levels to the normal in both the experimental models. The activity of the extract was comparable to that of standard drug, silymarin (25 mg/kg, p.o.). Histopathological observations also demonstrated protective effect of the test extract on liver anatomy. Overall results suggest that F. dalhousiae possesses in vivo hepatoprotective activity.
Downloads
806
321 Read
282
References
Akhtar MS, Asjad HMM, Bashir S, Malik A, Khalid R, Gulzar F, Irshad N. Evaluation of anti-oxidant and hepatoprotective effects of Khamira Gaozaban Ambri Jadwar Ood Saleeb Wala (KGA). Bangladesh J Pharmacol. 2013; 8: 44-48.
Alamgeer, Nawaz M, Ahmad T, Mushtaq MN, Batool A. Hepatoprotective activity of Thymus linearis against paracetamol- and carbon tetrachloride-induced hepatotoxicity in albino mice. Bangladesh J Pharmacol. 2014; 9: 230-34.
Ali M, Qadir MI, Saleem M, Janbaz KH, Gul H, Hussain L, Ahmed B. Hepatoprotective potential of Convolvulus arvensis against paracetamol-induced hepatotoxicity. Bangladesh J Pharmacol. 2013; 8: 300-04.
Amacher DE. Serum transaminase elevations as indicators of hepatic injury following the administration of drugs. Regul Toxicol Pharmacol. 1998; 27: 119-30.
Balamuruganvelu S, Geethavani B, Premlal KR, Sengottuvelu S, Jaikumar S. Hepatoprotective activity of Polyalthia longifolia leaves against paracetamol induced hepatotoxicity in rats. Scholars J Appl Med Sci. 2014; 2: 908-10.
Bessems JGM, Vermeulen NPE. Paracetamol (acetaminophen)-induced toxicity: Molecular and biochemical mechanisms, analogues and protective approaches. Crit Rev Toxicol. 2001; 31: 55-138.
Cheedella HK, Alluri R, Mohan GK. Hepatoprotective effect of ethanolic extract of Gossypium herbacium on paracetamol induced liver damage in albino rats. J Global Trends Pharmaceut Sci. 2012; 3: 772-75.
Deore SL, Khadabadi SS, Baviskar BA. Pharmacognosy and phytochemistry: A comprehensive approach. Pharma Med Press. 2014, p 481.
Farghaly HS, Hussein MA. Protective effect of curcumin against paracetamol-induced liver damage. Australian J Basic Appl Sci. 2010; 4: 4266-74.
Gupta M, Mazumder UP, Kumar TS, Gomathi P, Kumar RS. Anti-oxidant and hepatoprotective effects of Bauhinia racemosa against paracetamol- and carbon tetrachloride-induced liver damage in rats. Iranian J Pharmacol Therapeut. 2004; 3: 12-20.
Halliwell B, Gutteridge JM, Fross CE. Free radicals, antioxidants, and human disease: Where are we now? J Lab Clin Med. 1992; 119: 598-620.
Jafri MA, Subhani MJ, Javed K, Singh S. Hepatoprotective activity of leaves of Cassia occidentalis against paracetamol and ethyl alcohol intoxication in rats. J Ethanopharmacol. 1999; 66: 355-61.
Khare CP. Indian medicinal plants an illustrated dictionary. Springer Science and Business Media, 2007, p 266.
Khandelwal KR. Practical pharmacognosy: Techniques and experiments. 2nd ed. Nirali Prakashan, 2000, pp 149-56.
Kind PRN, King EJ. Estimation of plasma phosphatase by determination of hydrolysed phenol with amino antipyrine. J Clin Pathol. 1954; 7: 322.
Kumar G, Banu, GSP, Pappa V, Sundararajan, M. Pandian MR. Hepatoprotective activity of Trianthema portulacastrum L. against paracetamol and thioacetamide intoxication in albino rats. J Ethnopharmacol. 2004; 92: 37-40.
Lee NH, Seo CS, Lee LY, Jung DY, Lee JK, Lee JA, Song KY, Shin HK, Lee MY, Seo YB, Kim HY, Ha H. Hepatoprotective and anti-oxidative activities of Cornus officinalis against acetaminophen-induced hepatotoxicity in mice. Evid Based Complement Alternat Med. 2012; 2012: 1-8.
Lowry OH, Rosebrough NJ, Far AL, Randall RJ. Protein measurement with Folin Phenol reagent. J Biol Chem. 1951; 193: 265-75.
Mallhi TH, Abbas K, Ali M, Qadir MI, Saleem M, Khan YH. Hepatoprotective activity of methanolic extract of Malva parviflora against paracetamol-induced hepatotoxicity in mice. Bangladesh J Pharmacol. 2014; 9: 342-46.
Malloy HT, Evelyn KA. The determination of bilirubin with the photometric colorimeter. J Biol Chem. 1937; 119: 481-90.
Mathew AP, Thomas RP, Sreejith M. In vitro antioxidant activities of leaf extract of Ficus dalhousiae Miq. J Pharma Search. 2013; 8: 16-21.
Nkosi CZ, Opoku AR, Terblanche SE. Effect of pumpkin seed (Cucurbita pepo) protein isolate on the activity levels of certain plasma enzymes in CCl4-induced liver injury in rats. Phytother Res. 2005; 19: 341-45.
OECD guidelines for the testing of chemicals (acute oral toxicity-up and down procedure). Adopted 23rd March 2006.
Rao GM, Rao CV, Pushpangadan P, Shirwaikar A. Hepatoprotective effects of rubiadin, a major constituent of Rubia cordifolia Linn. J Ethnopharmacol. 2006; 103: 484-90.
Reitman S, Frankel S. In vitro determination of tranaminase activity in serum. Am J Clin Pathol. 1957; 28: 56.
Sadeque MZ, Begum ZA. Protective effect of dried fruits of Carica papaya on hepatotoxicity in rat. Bangladesh J Pharmacol. 2010; 5: 48-50.
Subramonium A, Pushpangadan P. Development of phytomedicines for liver diseases. Indian J Pharmacol. 1999; 31: 166-75.
Somchit MN, Zuraini A, Bustamam AA, Somchit N, Sulaiman MR, Noratunlina R. Protective activity of turmeric (Curcuma longa) in paracetamol-induced hepatotoxicity in rats. Int J Pharmacol. 2005; 1: 252-56.
Sasidharan S, Aravindran S, Latha LY, Vijenthi R, Saravanan D, Amutha S. In vitro anti-oxidant activity and hepatoprotective effects of Lentinula edodes against paracetamol-induced hepatotoxicity. Molecules 2010; 15: 4478-89.
Uma N, Fakurazi S, Hairuszah I. Moringa oleifera enhances liver anti-oxidant status via elevation of anti-oxidant enzymes activity and counteracts paracetamol-induced hepatotoxicity. Malaysian J Nutr. 2010; 16: 293-307.
Zakaria ZA, Rofiee MS, Somchit MN, Zuraini MR, Teh LK, Saleh MZ, Long K. Hepatoprotective activity of dried- and fermented-processed virgin coconut oil. Evid Based Complement Alternat Med. 2011; 2011: 1-8.
Published
How to Cite
Issue
Section
License
Authors who publish with this journal agree to the following terms:
- Authors retain copyright and grant the journal right of first publication with the work simultaneously licensed under a Creative Commons Attribution License that allows others to share the work with an acknowledgement of the work's authorship and initial publication in this journal.
- Authors are able to enter into separate, additional contractual arrangements for the non-exclusive distribution of the journal's published version of the work (e.g., post it to an institutional repository or publish it in a book), with an acknowledgement of its initial publication in this journal.
- Authors are permitted and encouraged to post their work online (e.g., in institutional repositories or on their website) prior to and during the submission process, as it can lead to productive exchanges, as well as earlier and greater citation of published work (See The Effect of Open Access).