GC-MS analysis, preliminary phytochemical screening, physicochemical analysis and anti-diabetic activity of ethanol extract of Jasminum cuspidatum leaves
DOI:
https://doi.org/10.3329/bjp.v9i4.20602Keywords:
Jasminum cuspidatum, Leaves, Ethanol extract, GC-MS analysis, Physicochemical, Phytochemical, anti-diabetic activityAbstract
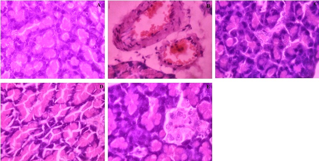
The purpose of the present study was investigating the GC-MS analysis, preliminary phytochemical screening, physicochemical analysis and anti-diabetic activity of ethanol extract of the leaves of Jasminum cuspidatum. The anti-diabetic activity was investigated in streptozotocin-induced diabetes rats with treatment of ethanol extract at the dose level of 200 and 400 mg/kg, which was compared with glibenclamide at a dose level of 4 mg/kg and the parameter measured being the blood glucose, total cholesterol, HDL, LDL, VLDL, triglycerides, and total protein. An oral glucose tolerance test (OGTT) was also investigated in experimental rats. The GC-MS analysis revealed that the ethanol extract contained seven phytoconstituents. Preliminary phytochemical screening showed the presence of triterpenoids, flavonoids, glycosides and steroids. The result of in vivo anti-diabetic activity revealed that the ethanol extract of J. cuspidatum showed significant anti-diabetic activity.
Downloads
491
479 Read
504
References
Anonymous. Indian Pharmacopoeia. Vol 1. New Delhi, Controller of publications, Govt. of India, Ministry of health and family welfare, 1996, A 3.38.
Anonymous. The wealth of India: A dictionary of Indian raw materials and industrial products. Council of Scientific and Industrial Research, New Delhi, 2003.
Bancroft JD, Gamble M. Theory and practice of histological techniques. 5th ed. Churchill Livingstone, 2002.
Gunasekaran M, Balasubramanian P. Ethanomedicinal uses of Sthalavrikshas (temple trees) in Tamil Nadu, Southern India. Ethnobot Res Appl. 2012; 10: 253-68.
Harborn JB. Methods of extraction and isolation. In: Phytochemical methods. London, Chapman and Hall, 1998, pp 60-66.
Shete H, Sathaye S. Anti-diabetic activity of polyherbal therapy in streptozotocin induced diabetes mellitus. Int J Pharm Sci. 2013; 4: 88-95.
Henry AN, Kumari GR, Chithra V. Flora of Tamil Nadu. Series 1. Vol. 2. Calcutta, Botanical Survey of India, 1987.
Ikewuchi JC, Onyeike EN, Uwakwe AA, Ikewuchi CC. Effect of aqueous extract of the leaves of Acalypha wilkesiana 'Godseffiana' Muell Arg (Euphorbiaceae) on the hematology, plasma biochemistry and ocular indices of oxidative stress in alloxan-induced diabetic rats. J Ethnopharmacol. 2011; 137: 1415-24.
Kokate CK. Practical pharmacognosy. New Delhi, Vallabh Prakashan, 1986.
Kunhachan P, Banchonglikitkul C, Kajsongkram T, Khayungarnnawee A, Leelamanit W. Chemical composition, toxicity and vasodilatation: Effect of the flowers extract of Jasminum sambac (L.) Ait. G. Duke of Tuscany. Evid-Based Compl Alt. 2012; 1-7.
OECD/OCDE, OECD Guidelines for the testing of chemicals, revised draft guidelines 423: Acute oral toxicity- Acute toxic class method. CPCSEA. Ministry of Social Justice and Empowerment, New Delhi, Government of India, 2000.
Mundugaru R, Varadharajan MC, Basavaiah R. Hepatoprotective activity of fruit extract of Garcinia pedunculata. Bangladesh J Pharmacol. 2014; 9: 483-87.
Saravanan D, Kasisankar V, Asharani IV. GC-MS analysis of phytocomponents in the leaves of Actinodaphne madraspatana Bedd. Int J Res Pharm Sci. 2013; 4: 469-73.
Sellamuthu PS, Muniappan BP, Perumal SM, Kandasamy M. Antihyperglycemic effect of Mangiferin in streptozotocin induced diabetic rats. J Health Sci. 2009; 55: 20614.
Sermakkani M, Thangapandian V. GC-MS analysis of Cassia italica leaf methanol extract. Asian J Pharm Clin Res. 2012; 5: 90-94.
Selvaraj S, Palanisamy S. Investigations on the anti-diabetic potential of novel marine seaweed Sargassum longiotom against alloxan-induced diabetes mellitus: A pilot study. Bangladesh J Pharmacol. 2014; 9: 194-97.
Sikarwar MS, Patil MB. Antidiabetic activity of Pongamia pinnata leaf extracts in alloxan-induced diabetic rats. Int J Ayurveda Res. 2010; 1: 199204.
Rakholiya K, Chanda S. Pharmacognostic, physicochemical and phytochemical investigation of Mangifera indica L. var. Kesar leaf. Asian Pac J Trop Biomed. 2012; S680-84.
Ramachandran S, Rajasekaran A, Adhirajan N. In vivo and in vitro antidiabetic activity of Terminalia paniculata Bark: An evaluation of possible phytoconstituents and mechanisms for blood glucose control in diabetes. ISRN Pharmacol. 2013; 1-10.
WHO. Quality control methods for medicinal plant material. Geneva, World Health Organization, 1998.
Published
How to Cite
Issue
Section
License
Authors who publish with this journal agree to the following terms:
- Authors retain copyright and grant the journal right of first publication with the work simultaneously licensed under a Creative Commons Attribution License that allows others to share the work with an acknowledgement of the work's authorship and initial publication in this journal.
- Authors are able to enter into separate, additional contractual arrangements for the non-exclusive distribution of the journal's published version of the work (e.g., post it to an institutional repository or publish it in a book), with an acknowledgement of its initial publication in this journal.
- Authors are permitted and encouraged to post their work online (e.g., in institutional repositories or on their website) prior to and during the submission process, as it can lead to productive exchanges, as well as earlier and greater citation of published work (See The Effect of Open Access).