Vernolepin regulates apoptosis and autophagy via microtubule formation in ovarian carcinoma cells
DOI:
https://doi.org/10.3329/bjp.v10i1.21180Keywords:
Apoptosis, Autophagy, Microtubule, Ovarian carcinoma cell, VernolepinAbstract
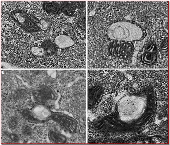
The study demonstrates the effect of vernolepin on proliferation and apoptosis in ovarian cancer cell lines. The inhibition of cell growth was significant at 30 ?M concentration after 48 hours in both OVCAR-3 and SK-OV3 cell lines. Phase-contrast microscopic examination revealed a decrease in number of vernolepin-treated cells. A number of membranous structures and vacuoles were visible in the cytoplasm after 24 hours. After 48 hours chromatin condensation and nuclear fragmentation indicating typical apoptotic changes were observed. Vernolepin treatment lead to 83.6% cell viability compared to control. However the cell viability was increased to 93.7% on after starvation followed by vernolepin treatment. On the other hand, 3-MA in combination with vernolepin decreased cell viability to 54.5%. Annexin V-FITC/PI staining and FACS demonstrated that in OVCAR-3 and SK-OV3 cells treatment with vernolepin (30 µ?) for 48 hours caused apoptosis in 34.2% and 28.5% cells respectively. Thus, vernolepin-treatment in ovarian carcinoma cells leads to autophagy before the onset of apoptosis and protects cancer cells.
Downloads
324
174 Read
123

Published
How to Cite
Issue
Section
License
Authors who publish with this journal agree to the following terms:
- Authors retain copyright and grant the journal right of first publication with the work simultaneously licensed under a Creative Commons Attribution License that allows others to share the work with an acknowledgement of the work's authorship and initial publication in this journal.
- Authors are able to enter into separate, additional contractual arrangements for the non-exclusive distribution of the journal's published version of the work (e.g., post it to an institutional repository or publish it in a book), with an acknowledgement of its initial publication in this journal.
- Authors are permitted and encouraged to post their work online (e.g., in institutional repositories or on their website) prior to and during the submission process, as it can lead to productive exchanges, as well as earlier and greater citation of published work (See The Effect of Open Access).