Overexpression of phosphorylated MARCKS in the nicotine-derived nitrosamine ketone induced lung cancer mice
DOI:
https://doi.org/10.3329/bjp.v10i1.21185Keywords:
A/J mice, Lung cancer, NNK, Phosphorylated MARCKSAbstract
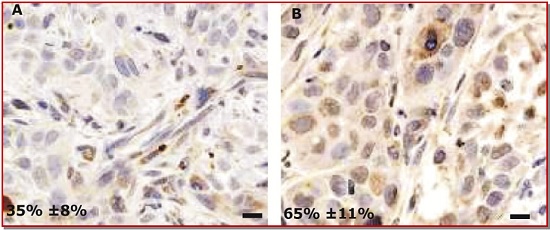
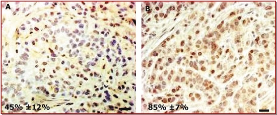
Lung cancer is the most frequently occurring lethal cancers in men and women population. The aim of the present study is to observe the overexpression pattern of phosphorylated MARCKS in the nicotine-derived nitrosamine ketone (NNK) induced lung cancer mice. Pathogen-free female A/J mice were used for the present experiment to induce lung cancer by the carcinogen namely, NNK. At different time intervals namely, 5th, 6th and 7th month after NNK injection, lung tissue samples were collected. Immunohistochemistry in accordance with the immunoblotting techniques were used to confirm the overexpression of phosphorylated MARCKS in the NNK induced lung cancer mice model. The present study concludes that the phosphorylated MARCKS was overexpressed in the NNK induced lung cancer mice during the early stages of lung cancer and it may be used as a tool to detect the lung cancer in the initial stages.
Downloads
420
275 Read
217
Published
How to Cite
Issue
Section
License
Authors who publish with this journal agree to the following terms:
- Authors retain copyright and grant the journal right of first publication with the work simultaneously licensed under a Creative Commons Attribution License that allows others to share the work with an acknowledgement of the work's authorship and initial publication in this journal.
- Authors are able to enter into separate, additional contractual arrangements for the non-exclusive distribution of the journal's published version of the work (e.g., post it to an institutional repository or publish it in a book), with an acknowledgement of its initial publication in this journal.
- Authors are permitted and encouraged to post their work online (e.g., in institutional repositories or on their website) prior to and during the submission process, as it can lead to productive exchanges, as well as earlier and greater citation of published work (See The Effect of Open Access).