Resveratrol overcomes TRAIL resistance in human colon cancer cells

Authors

  • Xiao-Bing Li Department of Oncology, Xinyu People's Hospital, China
  • Yun-Gang Deng Department of Stomach Enterochirurgia Gastrointestinal Surgery, The First Affiliated Hospital of Gannan Medical University, China
  • Jia-Ping Hu Department of General Five, The First Affiliated Hospital of Nanchang University, China
  • Zhi Wang Department of Oncology, Jiujiang First People's Hospital, China
  • Rong-Zhen Xie Department of Stomach Enterochirurgia Gastrointestinal Surgery, The First Affiliated Hospital of Gannan Medical University, China
  • Hong Luo Department of Oncology, Jiangxi Shangrao People's Hospital, China
  • Xiao-Yun Hu Department of General surgery, The 2nd Affiliated Hospital of Nanchang University, China

DOI:

https://doi.org/10.3329/bjp.v10i3.21208

Keywords:

Colon cancer, Resveratrol

Abstract

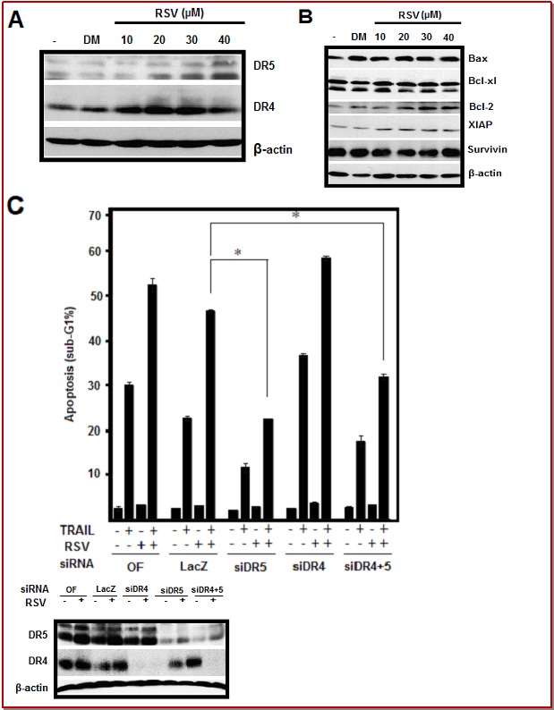
Resveratrol is a stilbenoid compound, and a promising potent chemopreventive bioactive agent. Here, we showed for the first time that the combined treatment with resveratrol and TRAIL drastically induced apoptosis in human colon cancer cells when compared to single treatments. Further, resveratrol markedly up-regulated TRAIL receptors, DR5 and DR4 and the results revealed that DR5 siRNA efficiently blocked apoptosis induced by the co-treatment with resveratrol and TRAIL, indicating that DR5 up-regulation by resveratrol helps to enhance TRAIL actions. In addition, the combined effect was tested on normal human cells. All the obtained results suggested that resveratrol is very useful for TRAIL-based treatments for cancer.

Downloads

Download data is not yet available.
Abstract
476
Download
352 Read
219

Published

2015-07-02

How to Cite

Li, Xiao-Bing, et al. “Resveratrol Overcomes TRAIL Resistance in Human Colon Cancer Cells”. Bangladesh Journal of Pharmacology, vol. 10, no. 3, July 2015, pp. 568-76, doi:10.3329/bjp.v10i3.21208.

Issue

Section

Research Articles