Cardioprotective activity of fruits of Sechium edule
DOI:
https://doi.org/10.3329/bjp.v10i1.21329Keywords:
Cardioprotective, Isoproterenol, Sechium eduleAbstract
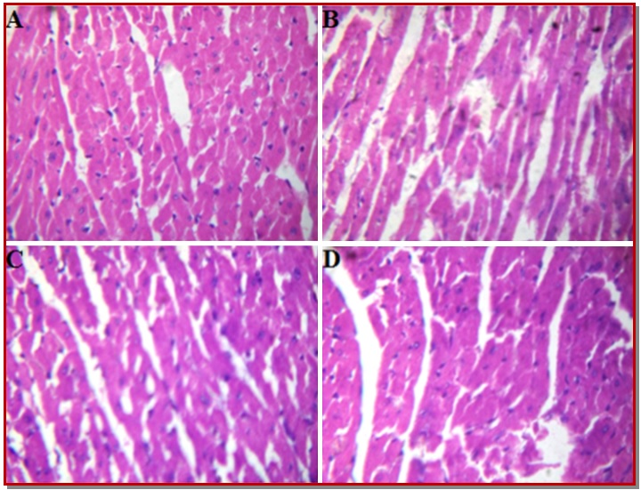
The present work deals with the study of the ethanolic extract of fruits of Sechium edule for cardioprotective activity. Cardioprotective activity of the ethanolic extract of fruits of Sechium edule was determined by the administration of isoproterenol (60 mg/kg, s.c) for two days. Pretreatment with Sechium edule (200 mg/kg, p.o and 100 mg/kg, p.o) for 28 days in significantly (P<0.01) reduce the levels of serum SGOT, SGPT, ALP, LDH, CK, Total Cholesterol, triglycerides, LDL-C, VLDL-C and increase the levels of HDL-C. Histopathological studies of the hearts of ISO treated rats have showed infiltration of inflammatory cells and continuity in muscle fiber was lacking suggesting an irreversible cell injury. Animals treated with ethanolic extract of Sechium edule showed less degenerative changes compared to ISO - treated animals.
Downloads
473
285 Read
160

Published
How to Cite
Issue
Section
License
Authors who publish with this journal agree to the following terms:
- Authors retain copyright and grant the journal right of first publication with the work simultaneously licensed under a Creative Commons Attribution License that allows others to share the work with an acknowledgement of the work's authorship and initial publication in this journal.
- Authors are able to enter into separate, additional contractual arrangements for the non-exclusive distribution of the journal's published version of the work (e.g., post it to an institutional repository or publish it in a book), with an acknowledgement of its initial publication in this journal.
- Authors are permitted and encouraged to post their work online (e.g., in institutional repositories or on their website) prior to and during the submission process, as it can lead to productive exchanges, as well as earlier and greater citation of published work (See The Effect of Open Access).