Fisetin induces G2/M phase cell cycle arrest by inactivating cdc25C-cdc2 via ATM-Chk1/2 activation in human endometrial cancer cells
DOI:
https://doi.org/10.3329/bjp.v10i2.21945Keywords:
ATM, Chk1/2, Cdc25C, endometrial cancer, fisetin, G2/M cell cycle phaseAbstract
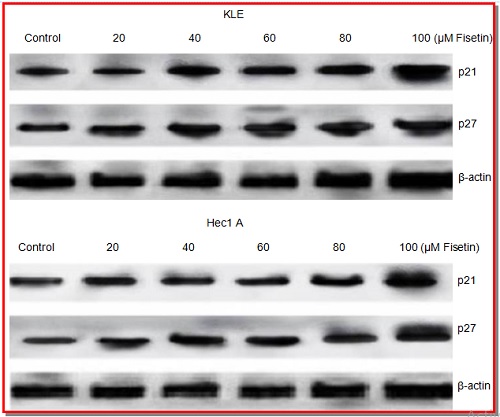
Endometrial cancer is one of the most prevalent gynaecological malignancies where, currently available therapeutic options remain limited. Recently phytochemicals are exploited for their efficiency in cancer therapy. The present study investigates the anti-proliferative effect of fisetin, a flavonoid on human endometrial cancer cells (KLE and Hec1 A). Fisetin (20-100 µM) effectively reduced the viability of Hec1 A and KLE cells and potentially altered the cell population at G2/M stage. Expression levels of the cell cycle proteins (cyclin B1, p-Cdc2, p-Cdc25C, p-Chk1, Chk2, p-ATM, cyclin B1, H2AX, p21 and p27) were analyzed. Fisetin suppressed cyclin B1 expression and caused inactiva-tion of Cdc25C and Cdc2 by increasing their phosphorylation levels and further activated ATM, Chk1 and Chk2. Increased levels of p21 and p27 were observed as well. These results suggest that fisetin induced G2/M cell cycle arrest via inactivating Cdc25c and Cdc2 through activation of ATM, Chk1 and Chk2.
Downloads
785
460 Read
155

Published
How to Cite
Issue
Section
License
Authors who publish with this journal agree to the following terms:
- Authors retain copyright and grant the journal right of first publication with the work simultaneously licensed under a Creative Commons Attribution License that allows others to share the work with an acknowledgement of the work's authorship and initial publication in this journal.
- Authors are able to enter into separate, additional contractual arrangements for the non-exclusive distribution of the journal's published version of the work (e.g., post it to an institutional repository or publish it in a book), with an acknowledgement of its initial publication in this journal.
- Authors are permitted and encouraged to post their work online (e.g., in institutional repositories or on their website) prior to and during the submission process, as it can lead to productive exchanges, as well as earlier and greater citation of published work (See The Effect of Open Access).