Hepatoprotective effects of Sapium sebiferum in paracetamol-induced liver injury
DOI:
https://doi.org/10.3329/bjp.v10i2.22576Keywords:
Hepatotoxicity, Paracetamol, Sapium sebiferum, SilymarinAbstract
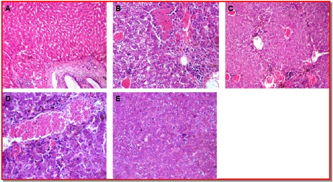
Sapium sebiferum leaves were used to determine its hepatoprotective effects against paracetamol-induced hepatotoxicity in mice. A dose dependent study was conducted using two different doses (200 mg/kg and 400 mg/kg) of the extract of S. sebiferum against toxic effects of paracetamol (500 mg/kg) in experimental animal model. Silymarin (50 mg/kg) was used as standard drug to compare therapeutic effects of S. sebiferum with control and paracetamol-treated groups. Paracetamol significantly increased the serum levels of liver enzyme markers like alanine aminotransferase, aspartate aminotransferase, alkaline phosphatase, total bilirubin, and direct bilirubin. The extract showed protective effects by normalizing the liver enzymes markers in a dose dependent manner. Histopathological results confirmed the hepatoprotective effects of leaves of S. sebiferum. We conclude that leaves of S. sebiferum have strong hepatoprotective effects against paracetamol-induced liver injury and can be used in liver injuries caused by drug-induced toxicity.
Downloads
661
440 Read
232

Published
How to Cite
Issue
Section
License
Authors who publish with this journal agree to the following terms:
- Authors retain copyright and grant the journal right of first publication with the work simultaneously licensed under a Creative Commons Attribution License that allows others to share the work with an acknowledgement of the work's authorship and initial publication in this journal.
- Authors are able to enter into separate, additional contractual arrangements for the non-exclusive distribution of the journal's published version of the work (e.g., post it to an institutional repository or publish it in a book), with an acknowledgement of its initial publication in this journal.
- Authors are permitted and encouraged to post their work online (e.g., in institutional repositories or on their website) prior to and during the submission process, as it can lead to productive exchanges, as well as earlier and greater citation of published work (See The Effect of Open Access).