Tangeretin inhibits IL-1β induced proliferation of rheumatoid synovial fibroblasts and the production of COX-2, PGE2 and MMPs via modulation of p38 MAPK/ERK/JNK pathways

Authors

  • Yong-Ji Li Department of Rheumatoid Immunology, The First Affiliated Hospital of Wenzhou Medical University, Wenzhou, Zhejiang 325000, China
  • Ting Zhang Department of Rheumatoid Immunology, The First Affiliated Hospital of Wenzhou Medical University, Wenzhou, Zhejiang 325000, China
  • Jian-Xin Tu Department of Rheumatoid Immunology, The First Affiliated Hospital of Wenzhou Medical University, Wenzhou, Zhejiang 325000, China
  • Gang Li Department of Chemoradiation Oncology, The First Affiliated Hospital of Wenzhou Medical University, Wenzhou, Zhejiang, 325000, China
  • Yan Zhou Department of Rheumatoid Immunology, The First Affiliated Hospital of Wenzhou Medical University, Wenzhou, Zhejiang 325000, China

DOI:

https://doi.org/10.3329/bjp.v10i3.22865

Keywords:

Interleukin-1?, Rheumatoid arthritis, Tangeretin

Abstract

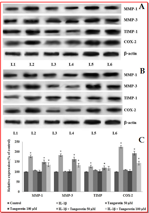
The study aimed to determine the effect of tangeretin in inhibiting the interleukin-1β (IL-1β)-induced proliferation of RASFs and suppression of the production of inflammatory mediators. RASFs were isolated from synovial tissue obtained from patients with RA during knee arthroscopy. The cells were exposed to IL‑1β (1.0 ng/mL) and/ or tangeretin (50 or 100 µM). Cell viability was assessed following treatments. Expressions of MMPs and COX-2 were analysed by real-time PCR and Western blotting. Production of prostaglandin E2 (PGE2) by RASFs were analysed by ELISA. Expressions of mitogen activated protein kinases (MAPKs) and nuclear factor-kB (NF-kB) were assessed by western blotting. Tangeretin significantly inhibited the proliferation of RASFs, as well as down-regulated the expression of MMP-1, MMP-3 and COX-2 mRNA and protein and also the phosphorylation of ERK, p38 and JNK. Raised level of expression of NF-κB and PGE2 induced by IL-1β was reduced by tangeretin. Results indicate that tangeretin was effective in inhibiting the synovial fibroblast proliferation, as well regulated MMPs, COX-2, PGE2 via modulation of p38 MAPK, ERK and JNK pathways.  

Downloads

Download data is not yet available.
Abstract
620
Download
363 Read
217

Published

2015-08-21

How to Cite

Li, Yong-Ji, et al. “Tangeretin Inhibits IL-1β Induced Proliferation of Rheumatoid Synovial Fibroblasts and the Production of COX-2, PGE2 and MMPs via Modulation of p38 MAPK ERK JNK Pathways”. Bangladesh Journal of Pharmacology, vol. 10, no. 3, Aug. 2015, pp. 714-25, doi:10.3329/bjp.v10i3.22865.

Issue

Section

Research Articles