Tanshinone IIA inactivates Akt and induces caspase-dependent death in cervical cancer cells via the mitochondrial pathway
DOI:
https://doi.org/10.3329/bjp.v10i3.23018Keywords:
Apoptosis, Cervical cancer, Tanshinone IIAAbstract
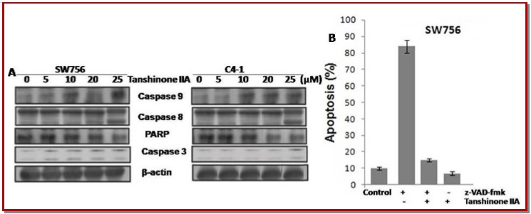
In human cervical cancer cells pro-apoptotic effect of tanshinone IIA isolated from the ethanol extract of Scutellaria barbata was investigated. Tanshinone IIA treatment resulted in apoptosis and mitochondrial membrane potential loss in the cervical cancer cells. The viability of SW756 and C4-1 cells was reduced in a concentration dependent manner on treatment with tanshinone IIA for 36 hours. Flow cytometric analysis in SW756 cells showed marked increase in accumulation of sub-G1-phase cell population. Tanshinone IIA treatment also caused significant increase in DNA fragmentation in these cells. DAPI staining revealed significant increase in nuclear condensation and apoptotic body formation on tanshinone IIA treatment in SW756 cells However, the effect of tanshinone IIA was reversed by caspase inhibitor, z-VAD-fmk. In tanshinone IIA treated cells Akt phosphorylation was markedly reduced and this decrease was inhibited by LY294002 (phosphatidylinositol-3'-kinase inhibitor). Tanshinone IIA treated apoptotic cells exhibited decrease in expression of Mcl-1. Thus tanshinone IIA induces apoptosis in cervical cancer cells through mitochondrial pathway.
Downloads
749
449 Read
52
References
Brinkman JA, Caffrey AS, Muderspach LI, Roman LD, Kast WM. Inhibitory effect of ginsenoside Rg5 and its metabolite ginsenoside Rh3 in an oxazolone induced mouse chronic dermatitis model. Eur J Gynaecol Oncol. 2005; 26: 129-42.
Chen L, Willis SN, Wei A, Smith BJ, Fletcher JI, Hinds MG, Colman PM, Day CL, Adams JM, Huang DC. Differential targeting of prosurvival Bcl-2 proteins by their BH3-only ligands allows complementary apoptotic function. Mol Cell. 2005; 17: 393-403.
Cohen GM. Caspases: The executioners of apoptosis. Biochem J. 1997; 326: 1-16.
Cohen J J. Apoptosis. Immunol Today. 1993; 14: 126-30.
Danial NN, Korsmeyer SJ. Cell death: Critical control points. Cell 2004; 116: 205-19.
Fulda S, Debatin KM. Apoptosis signaling in tumor therapy. Ann NY Acad Sci. 2004a; 1028: 150-56.
Fulda S, Debatin KM. Targeting apoptosis pathways in cancer therapy. Curr Cancer Drug Targets. 2004b; 4: 569-76.
Katiyar SK, Korman NJ, Mukhtar H, Agarwal R. Protective effects of silymarin against photocarcinogenesis in a mouse skin model. J Nat Cancer Inst. 1997; 89: 556.
Kuwana T, Bouchier-Hayes L, Chipuk JE, Bonzon C, Sullivan BA, Green DR, Newmeyer DD. BH3 domains of BH3-only proteins differentially regulate Bax-mediated mitochondrial membrane permeabilization both directly and indirectly. Mol Cell. 2005; 17: 525-35.
Lee CY, Sher HF, Chen HW, Liu CC, Chen CS, Lin CS, Yang PC, Tsay HS, Chen JJW. Anticancer effects of tanshinone I in human non-small cell lung cancer. Mol Cancer Ther. 2008; 7: 3527.
Leitao MM Jr, Chi DS. Recurrent cervical cancer. Curr Treat Options Oncol. 2002; 3: 105-11.
Long HJ 3rd. Management of metastatic cervical cancer: Review of the literature. J Clin Oncol. 2007; 25: 2966?74.
McCubrey JA, Steelman LS, Abrams SL, Lee JT, Chang F, Bertrand FE, Navolanic PM, Terrian DM, Franklin RA, D'Assoro AB, Salisbury JL, Mazzarino MC, Stivala F, Libra M. Roles of the RAF/MEK/ERK and PI3K/PTEN/AKT pathways in malignant transformation and drug resistance. Adv Enzyme Regul. 2006; 46: 249-79.
Nijhawan D, Fang M, Traer E, Zhong Q, Gao W, Du F, Wang X. Elimination of Mcl-1 is required for the initiation of apoptosis following ultraviolet irradiation. Genes Dev. 2003; 17: 1475-86.
Parajuli P, Joshee N, Rimando AM, Mittal S, Yadav SK. In vitro antitumor mechanisms of various Scutellaria extracts and constituent flavonoids. Planta Medica. 2009; 75: 41.
Saslow D, Castle PE, Cox JT, et al. American Cancer Society Guideline for human papillomavirus (HPV) vaccine use to prevent cervical cancer and its precursors. CA Cancer J Clin. 2007; 57: 7?28.
Song G, Ouyang G, Bao S. The activation of Akt/PKB signaling pathway and cell survival. J Cell Mol Med. 2005; 9: 59-71.
Steben M, Duarte?Franco E. Human papillomavirus infection: Epidemiology and pathophysiology. Gynecol Oncol. 2007; 107: S2?S5.
Wang X, Wei Y, Yuan S, Liu G, Lu Y, Zhang J, Wang W. Potential anticancer activity of tanshinone II A against human breast cancer. Int J Cancer. 2005; 116: 799.
White E. Life, death, and the pursuit of apoptosis. Genes Dev. 1996; 10: 1-15.
Williams GT, Smith CA. Molecular regulation of apoptosis: Genetic controls on cell death. Cell 1993; 74: 777-79.
Wyllie AH, Kerr JF, Currie AR. Cell death: The significance of apoptosis. Int Rev Cytol 1980; 68: 251-306.
Yang J, Li J, Sun M, Chen K. Studies of traditional Chinese medicine monomer on HeLa cell of cervical cancer. Pak J Pharm Sci 2014; 27: 1063-1068.
Ye F, Xui L, Yi J, Zhang W, Zhang DY. Anticancer activity of Scutellaria baicalensis and its potential mechanism. J Altern Complement Med. 2002; 8: 567.
Yin X, Zhou J, Jie C, Xing D, Zhang Y. Anticancer activity and mechanism of Scutellaria barbata extract on human lung cancer cell line A 549. Life Sci. 2004; 75: 2233.
Published
How to Cite
Issue
Section
License
Authors who publish with this journal agree to the following terms:
- Authors retain copyright and grant the journal right of first publication with the work simultaneously licensed under a Creative Commons Attribution License that allows others to share the work with an acknowledgement of the work's authorship and initial publication in this journal.
- Authors are able to enter into separate, additional contractual arrangements for the non-exclusive distribution of the journal's published version of the work (e.g., post it to an institutional repository or publish it in a book), with an acknowledgement of its initial publication in this journal.
- Authors are permitted and encouraged to post their work online (e.g., in institutional repositories or on their website) prior to and during the submission process, as it can lead to productive exchanges, as well as earlier and greater citation of published work (See The Effect of Open Access).