Anticancer and apoptotic effects of theaflavin-3-gallate in non-small cell lung carcinoma
DOI:
https://doi.org/10.3329/bjp.v10i4.23580Keywords:
Cell cycle, Cell migration, Lung cancer, Theaflavin-3-gallateAbstract
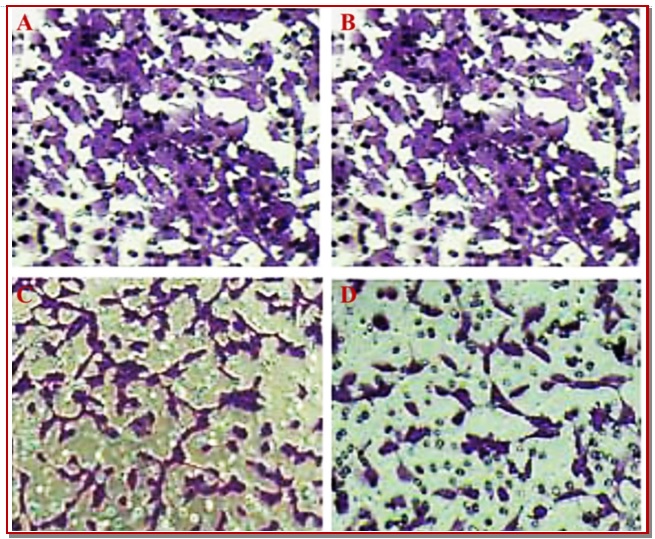
The objective was to determine the antiproliferative and apoptotic effects of theaflavin-3-gallate in human non-small cell lung cancer cells (A-549) along with determining the effect on cell cycle phase distribution, cell migration and invasion. Cell viability was determined by MTT assay while as phase contrast and fluorescence microscopies were involved to study apoptotic morphologi-cal features in these cells. Flow cytometry investigated the effect of theaflavin-3-gallate on cell cycle phase distribution. Theaflavin-3-gallate treatment led to a substantial cytotoxic effect in A-549 cancer cells with IC50 values of 42.1 µM and 27.9 µM at 24 and 48 hours respectively. Further, 80 and 160 µM dose of theaflavin-3-gallate induced apoptotic features including chromatin margina-tion and micronuclei presence. The population of cells in G2/M phase increased from 2.7% (control) to 6.8%, 17.2% and finally to 46.5% after treatment with 20, 80 and 160 µM concentration of theaflavin-3-gallate respectively indicating G2/M phase cell cycle arrest.
Downloads
376
260 Read
125
											Published
How to Cite
Issue
Section
License
Authors who publish with this journal agree to the following terms:
- Authors retain copyright and grant the journal right of first publication with the work simultaneously licensed under a Creative Commons Attribution License that allows others to share the work with an acknowledgement of the work's authorship and initial publication in this journal.
 - Authors are able to enter into separate, additional contractual arrangements for the non-exclusive distribution of the journal's published version of the work (e.g., post it to an institutional repository or publish it in a book), with an acknowledgement of its initial publication in this journal.
 - Authors are permitted and encouraged to post their work online (e.g., in institutional repositories or on their website) prior to and during the submission process, as it can lead to productive exchanges, as well as earlier and greater citation of published work (See The Effect of Open Access).