Tangeretin prevents prostate cancer cell proliferation and induces apoptosis via activation of Notch signalling and regulating the androgen receptor (AR) pathway and the phosphoinositide 3-kinase (PI3k)/Akt/mTOR pathways
DOI:
https://doi.org/10.3329/bjp.v10i4.23699Keywords:
Androgen receptor, apoptosis, notch signalling, PI3K/Akt/mTOR pathways, prostate cancer, tangeretinAbstract
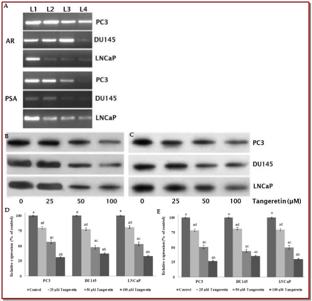
Despite advances in conventional therapies, treatment of prostate cancer is still a challenge. The study aims to assess the possible anti-cancer effects of tangeretin, a dietary flavonoid on human prostate cancer cells (DU145, PC3, LNCaP). Tangeretin (25, 50 and 100 µM) significantly inhibited cancer cell viability and induced DNA fragmentation and apoptosis by increasing caspase-3 and pro-apoptotic proteins (Bad and Bax) with reduced anti-apoptotic proteins (Bcl-2 and Bcl-xL) expressions. Significant inhibition of androgen receptor (AR) and prostate specific antigen (PSA) were seen. Dose-dependent inhibition in Notch signal was observed in expression of Notch 1 and Jagged 1 along with PI3/Akt/mTOR signalling pathway. The results suggest that tangeretin inhibited prostate cancer cell proliferation and induced apoptosis via inhibiting critical pathways in cancer development - AR signalling and PI3/Akt/mTOR - Notch signalling pathways.
Downloads
311
192 Read
123

Published
How to Cite
Issue
Section
License
Authors who publish with this journal agree to the following terms:
- Authors retain copyright and grant the journal right of first publication with the work simultaneously licensed under a Creative Commons Attribution License that allows others to share the work with an acknowledgement of the work's authorship and initial publication in this journal.
- Authors are able to enter into separate, additional contractual arrangements for the non-exclusive distribution of the journal's published version of the work (e.g., post it to an institutional repository or publish it in a book), with an acknowledgement of its initial publication in this journal.
- Authors are permitted and encouraged to post their work online (e.g., in institutional repositories or on their website) prior to and during the submission process, as it can lead to productive exchanges, as well as earlier and greater citation of published work (See The Effect of Open Access).