Ameliorative effect of Aegle marmelos leaves extract against cisplatin-induced nephrotoxicity and oxidative stress
DOI:
https://doi.org/10.3329/bjp.v11i1.24004Keywords:
Withdrawn by the EditorAbstract
Withdrawn by the Editor
Downloads
Download data is not yet available.
Abstract
653
653
References
Withdrawn by the Editor
Additional Files
- Figure 1: DPPH free radical scavenging effect of A. marmelos
- Figure 2: Scavenging effect of A. marmelos on hydrogen peroxide
- Figure 3: Anti-oxidant effect of A. marmelos by reducing power assay method
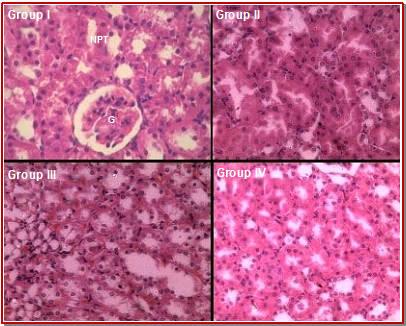
- Figure 4: Photomicrographs (45X) of kidney?s section of rats showing histopathological changes
- sound
Published
2015-12-19
How to Cite
Ahmad, Rizwan, et al. “Ameliorative Effect of Aegle Marmelos Leaves Extract Against Cisplatin-Induced Nephrotoxicity and Oxidative Stress”. Bangladesh Journal of Pharmacology, vol. 11, no. 1, Dec. 2015, p. Withdrawn by the editor, doi:10.3329/bjp.v11i1.24004.
Issue
Section
Research Articles
License
Authors who publish with this journal agree to the following terms:
- Authors retain copyright and grant the journal right of first publication with the work simultaneously licensed under a Creative Commons Attribution License that allows others to share the work with an acknowledgement of the work's authorship and initial publication in this journal.
- Authors are able to enter into separate, additional contractual arrangements for the non-exclusive distribution of the journal's published version of the work (e.g., post it to an institutional repository or publish it in a book), with an acknowledgement of its initial publication in this journal.
- Authors are permitted and encouraged to post their work online (e.g., in institutional repositories or on their website) prior to and during the submission process, as it can lead to productive exchanges, as well as earlier and greater citation of published work (See The Effect of Open Access).