Combination of axitinib and dasatinib for anti-cancer activities in two prostate cancer cell lines
DOI:
https://doi.org/10.3329/bjp.v11i1.24149Keywords:
Anti-cancer, Axitinib, Dasatinib, Prostate cancer cell lineAbstract
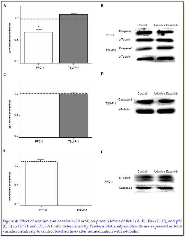
Prostate cancer is the major cause of cancer-related deaths worldwide in men. There are new treatment methods and drugs are being developed with promising results in two of the prostate cancer cell lines (PPC-1 and TSU-Pr1). These two cells were treated with 20 uM of axitinib combined with dasatinib for 6-72 hours. The cell viability assessed by the cytotoxicity assay. Various regulatory genes such as c-KIT, cell cycle and apoptosis and angiogenic factors were also studied. The enzyme activity of apoptosis effector caspase-3 was colorimetrically determined. Axitinib and dasatinib combination lowered the survival rate of PPC-1 cells but enhanced the survival rate of TSU-Pr1 cells. The protein expression levels in apoptosis and angiogenesis factors were also found to be in contrast between the two cell lines. PPC-1 and TSU-Pr1 cells displayed a different response to axitinib with dasatinib, which explains different expression levels of regulators of cell-cycle, apoptosis and angiogenesis.
Downloads
469
232 Read
179

Published
How to Cite
Issue
Section
License
Authors who publish with this journal agree to the following terms:
- Authors retain copyright and grant the journal right of first publication with the work simultaneously licensed under a Creative Commons Attribution License that allows others to share the work with an acknowledgement of the work's authorship and initial publication in this journal.
- Authors are able to enter into separate, additional contractual arrangements for the non-exclusive distribution of the journal's published version of the work (e.g., post it to an institutional repository or publish it in a book), with an acknowledgement of its initial publication in this journal.
- Authors are permitted and encouraged to post their work online (e.g., in institutional repositories or on their website) prior to and during the submission process, as it can lead to productive exchanges, as well as earlier and greater citation of published work (See The Effect of Open Access).