Protective effects of paeonol on cardiovascular complications in diabetes mellitus involves modulation of PI3K /Akt-GSK-3β signalling, regulation of protease-activated receptor-1 expressions and down-regulation of inflammatory mediators
DOI:
https://doi.org/10.3329/bjp.v10i4.24334Keywords:
Cardiovascular, Diabetes mellitus, Inflammatory mediator, Paeonol, PI3K /Akt-GSK-3? signaling, Protease-activated receptor-1 expressionAbstract
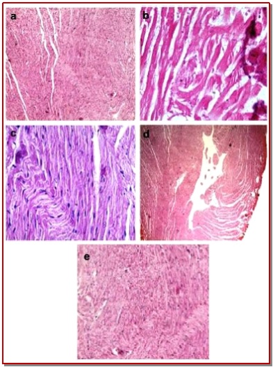
The present study was taken as an effort to assess the effects of paeonol on diabetic cardiomyopathy. Diabetes was induced in separate groups of Sprague-Dawley rats using streptozotocin. Treatment group animals received paeonol (50, 100 or 200 mg/kg body weight/day; orally) 5 weeks after streptozotocin induction for 6 weeks. Paeonol strikingly reduced myocardial apoptosis and improved cardiac function and myocardial architecture. Serum levels of glucose, reactive oxygen species and inflammatory mediators (TNF-α, IL-6 and IL-1β) were significantly reduced with decreased accumulation of collagen in the cardiac tissue. Paeonol modulated p-Akt, glycogen synthase kinase-3β and glycogen synthase, while significantly down-regulated protease-activated receptor-1, caspase-3, TNF-α, NF-κB p65, and p-Iκ-Bα expressions. Paeonol effectively suppressed diabetic cardiomyopathy by improving myocardial function, regulating the inflammatory responses and Akt signalling.
Downloads
572
218 Read
107

Published
How to Cite
Issue
Section
License
Authors who publish with this journal agree to the following terms:
- Authors retain copyright and grant the journal right of first publication with the work simultaneously licensed under a Creative Commons Attribution License that allows others to share the work with an acknowledgement of the work's authorship and initial publication in this journal.
- Authors are able to enter into separate, additional contractual arrangements for the non-exclusive distribution of the journal's published version of the work (e.g., post it to an institutional repository or publish it in a book), with an acknowledgement of its initial publication in this journal.
- Authors are permitted and encouraged to post their work online (e.g., in institutional repositories or on their website) prior to and during the submission process, as it can lead to productive exchanges, as well as earlier and greater citation of published work (See The Effect of Open Access).