Poly-phenolic fraction of Chrysophyllum cainito extract induces cell death in osteosarcoma cells
DOI:
https://doi.org/10.3329/bjp.v10i4.24576Keywords:
Cell death, Chrysophyllum cainito, Osteosarcoma cell, Poly-phenolicAbstract
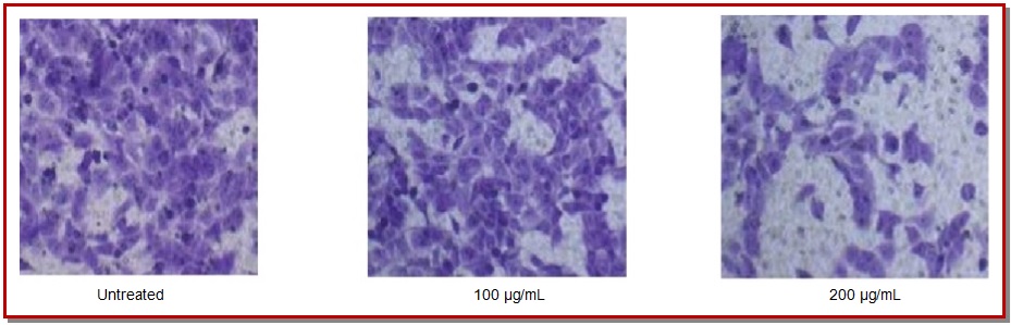
Osteosarcoma shows resistance to chemotherapy and many side effects. The ethyl acetate fraction of ethanolic extract of Chrysophyllum cainito was taken in the present work. The extract was characterized for its phenolic content, antioxidant capacity (ferric reducing antioxidant power and 2,2-diphenyl-1-picrylhydrazyl assays), ability to form reactive oxygen species and annexin V assay. The extract contained phenolic content of 30.1 ± 0.2 mg GAE/g extract. Ferric reducing antioxidant power assay and DPPH assay showed 213.2 ± 12.4 mM Fe2+ equivalent per gram extract and 85.6 ± 4.9 TE/g respectively. For production of reactive oxygen species in the osteosarcoma cells, extract at 50 µg GAE/mLconcentration was statistically equivalent to 100 µM H2O2. EC50 of extract was calculated to be 133 µg GAE/mL in cell viability studies.
Downloads
389
236 Read
149

Published
How to Cite
Issue
Section
License
Authors who publish with this journal agree to the following terms:
- Authors retain copyright and grant the journal right of first publication with the work simultaneously licensed under a Creative Commons Attribution License that allows others to share the work with an acknowledgement of the work's authorship and initial publication in this journal.
- Authors are able to enter into separate, additional contractual arrangements for the non-exclusive distribution of the journal's published version of the work (e.g., post it to an institutional repository or publish it in a book), with an acknowledgement of its initial publication in this journal.
- Authors are permitted and encouraged to post their work online (e.g., in institutional repositories or on their website) prior to and during the submission process, as it can lead to productive exchanges, as well as earlier and greater citation of published work (See The Effect of Open Access).