Hydroxychloroquine induces inhibition of collagen type II and oligomeric matrix protein COMP expression in chondrocytes

Authors

  • Tao Li Department of Joint Surgery, Shandong Provincial Hospital affiliated to Shandong University?Jinan, Shandong 250021 http://orcid.org/0000-0002-2203-3941
  • Hong-Yan Shi Department of Neurosurgery?Jinan Central Hospital affiliated to Shandong University?Jinan, Shandong 250013
  • Yong-Xin Hua Department of Orthopedics, Jinan Central Hospital affiliated to Shandong University?Jinan, Shandong 250013
  • Chen Gao Department  of Medical Devices, Jinan Central Hospital affiliated to Shandong University?Jinan, Shandong 250013
  • Qing Xia Department  of Medical Devices, Jinan Central Hospital affiliated to Shandong University?Jinan, Shandong 250013
  • Guang Yang Department of Joint Surgery, Shandong Provincial Hospital affiliated to Shandong University?Jinan, Shandong 250021
  • Bin Li Department of Orthopedics, Jinan Central Hospital affiliated to Shandong University?Jinan, Shandong 250013

DOI:

https://doi.org/10.3329/bjp.v11i2.24882

Keywords:

Chondrocyte, Collagen type II, COMP expression, Hydroxychloroquine, Oligomeric matrix protein

Abstract

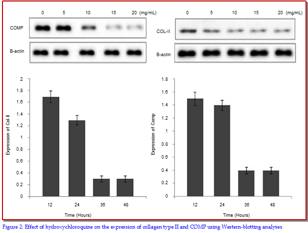
The aim of this study was to investigate the effect of hydroxychloroquine on the level of collagen type II and oligomeric matrix protein COMP expression in chondrocytes of knee osteoarthritis. The rate of growth in cartilage cells was analyzed using MTT assay whereas the Col-2 and COMP expression levels were detected by RT-PCR and Western blotting analyses. For the determination of MMP-13 expression, ELISA test was used. The results revealed no significant change in the rate of cartilage cell proliferation in hydroxychloroquine-treated compared to untreated cells. Hydroxychloro-quine treatment exhibited concentration- and time-dependent effect on the inhibition of collagen type II and COMP expression in chondrocytes. However, its treatment caused a significant enhancement in the expression levels of MMP-13 compared to the untreated cells. Therefore, hydroxychloro-quine promotes expression of MMP-13 and reduces collagen type II and COMP expression levels in chondrocytes without any significant change in the growth of cells.

Downloads

Download data is not yet available.
Abstract
505
Download
248 Read
138

References

Ashfaq UA, Javed T, Rehman S, Nawaz Z, RiazuddinS. Lysosomotropic agents as HCV entry inhibitors. Virol J. 2011; 8: 163-68.

Brondello JM, Philipot D, Djouad F, Jorgensen C, Noël D. Cellular senescence is a common characteristic shared by preneoplasic and osteo-arthritic tissue. Open Rheumatol J. 2010; 4: 10-14.

Cawston T, Billington C, Cleaver C, Elliott S, Hui W, Koshy P, Shingleton B, Rowan A. The regulation of MMPs and TIMPs in cartilage turnover. Ann NY Acad Sci. 1999; 878: 120-29.

Costedoat-Chalumeau N, Leroux G, Piette J-P, AmouraZ. Why all systemic lupus erythematosus patients should begiven hydroxychloroquine treatment? Joint Bone Spine. 2010; 77: 4-5.

Eyre D. Collagen of articular cartilage. Arthritis Res. 2002; 4: 30-35.

Gentili C, Cancedda R. Cartilage and bone extracellular matrix. Curr Pharm Des 2009; 15: 1334-48.

Guzman-Morales J, Lafantaisie-Favreau CH, Chen G, Hoemann CD. Subchondral chitosan/blood implant-guided bone plate resorption and woven bone repair is coupled to hya­line cartilage regeneration from microdrill holes in aged rabbit knees. Osteoarthritis Cartilage. 2014; 22: 323-33.

Goldring MB. The role of the chondrocyte in osteoarthritis. Arthritis Rheum. 2000; 43: 1916-26.

Kim HA, Song YW. Apoptotic chondrocyte death in rheuma­toid arthritis. Arthritis Rheum. 1999; 42: 1528-37.

Korth C, May BCH, Cohen FE, Prusiner SB. Acridine and phenothiazine derivatives as pharmacotherapeutics for prion disease. Proc Natl Acad Sci USA. 2001; 98, 9836-41.

Lo WC, Chen WH, Lin TC, Hwang SM, Zeng R, Hsu WC, Chiang YM, Liu MC, Williams DF, Deng WP. Preferential therapy for osteoarthritis by cord blood MSCs through regulation of chondrogenic cytokines. Biomaterials 2013; 34: 4739-48.

Mahoney E, Maddocks K, Flynn J, Jones J, Cole SL, Zhang X, Byrd JC, Johnson AJ. Identification of endoplasmicreticulum stress-inducing agents by antagonizing autophagy: A new potential strategy for identification of anti-cancer therapeutics in b-cell malignancies. Leuk Lymphoma. 2013; 54: 2685-92.

Roughley PJ. Articular cartilage and changes in arthritis: Non-collagenous proteins and proteoglycans in the extracellular matrix of cartilage. Arthritis Res. 2001; 3: 342-47.

Suarez-Almazor ME, Belseck E, SheaB, Homi, J, Wells G, Tugwell P. Antimalarials for treating rheumatoid arthritis. Cochrane Database Syst Rev. 2010; 4: CD000959.

Vasquez-Martin A, Lopez-Bonetc E, Cuti S, Oliveras-Ferraros C, Del Barco S, Martin-Castillo B, Menendez JA. Repositioning chloroquine and metformin to eliminate cancer stem cell traits in pre-malignant lesions. Drug Resist Updates. 2011; 14: 212-23.

Turajane T, Thitiset T, Honsawek S, Chaveewanakorn U, Aojanepong J, Papadopoulos KI. Assessment of chondrogenic differentiation potential of autologous activated peripheral blood stem cells on human early osteoar­thritic cancelloustibial bone scaffold. Musculoskelet Surg. 2014; 98: 35-43.

Wattanachai T, Yonemitsu I, Kaneko S, Soma K. Functional lateral shift of the mandible effects on the expression of ECM in rat temporomandibular cartilage. Angle Orthod. 2009; 79: 652-59.

Xu M, Zhang L, Zhao L, Gao S, Han R, Su D, Lei G. Phosphorylation of osteopontin in osteoarthritis degenerative cartilage and its effect on matrix metalloprotease 13. Rheumatol Int. 2013; 33: 1313-19.

Published

2016-03-22

How to Cite

Li, Tao, et al. “Hydroxychloroquine Induces Inhibition of Collagen Type II and Oligomeric Matrix Protein COMP Expression in Chondrocytes”. Bangladesh Journal of Pharmacology, vol. 11, no. 2, Mar. 2016, pp. 372-7, doi:10.3329/bjp.v11i2.24882.

Issue

Section

Research Articles