Effects of motherwort alkaloids on rat ear acne

Authors

  • Miao Mingsan Henan University of Traditional Chinese Medicine, Zhengzhou 450046
  • Li Yan Henan University of Traditional Chinese Medicine, Zhengzhou 450046
  • Wang Tan Henan University of Traditional Chinese Medicine, Zhengzhou 450046
  • Wang Ting Henan University of Traditional Chinese Medicine, Zhengzhou 450046
  • Bai Ming Henan University of Traditional Chinese Medicine, Zhengzhou 450046
  • Miao Jinxin Henan University of Traditional Chinese Medicine, Zhengzhou 450046
  • Gong Bao Henan University of Traditional Chinese Medicine, Zhengzhou 450046

DOI:

https://doi.org/10.3329/bjp.v11iS1.25633

Keywords:

Acne, Alkaloid, Motherwort

Abstract

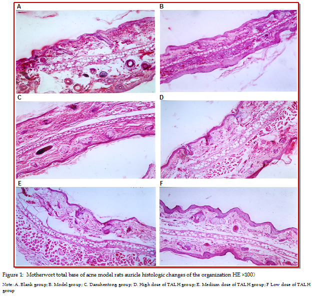
The aim of this study was to explore the effects of motherwort alkaloids on rat ear acne. The rats that were administered high, medium, and low doses of motherwort alkaloids, tanshinone capsules, a model and a control group. Each group of rats was subjected to gavage once daily for 14 consecutive days. On the first day of testing, the control and model groups were administered an intradermal auricle injection of sterilized saline solution and the remaining groups were administered an intradermal auricle injection of Staphylococcus epidermidis in addition to the gavage. The thicknesses of the rats auricles were measured for five consecutive days following the injections. Anticoagulated blood was used for erythrocyte rheology index measurement. In addition, the entire ear of each rat was removed for morphological examination. Compared to the model group, the group administered motherwort alkaloids exhibited significantly reduced swelling, improved localized auricle proliferation, and reduced blood viscosity. This result suggests motherwort alkaloids are effective in rat ear acne.

 

Downloads

Download data is not yet available.
Abstract
619
Download
390 Read
99

Author Biography

Miao Mingsan, Henan University of Traditional Chinese Medicine, Zhengzhou 450046

 

 

References

Liu SB, Tian GG. Research on extraction and biological activity of Leonurus heterophyllus alkaloid in progress. Neijiang Sci Technol. 2012; 1: 36.

Liu WB, Liang Q, Wang H. A acne composite animal model. J Guangdong College Pharm. 2014; 2: 198-201.

Liu WB, Wang H. Review on statue quo of acne vulgaris models. J Guangdong Pharmaceut College. 2010; 2: 209-14.

Miao MS, Cheng BL, Jiang N. Qumai Total flavonovids induced diabetic mice of streptozotocin. Mechatronics and Mechanical Engineering, Applied Mechanics and Materiais. 2014; 1: 397.

Miao MS, Wang Q, Cheng BL. Effect of total alkali in Leonuri herba in rabbit ear acne model, WIT Transac Biomed Health. 2013; 1: 185-91.

Miao MS, Zhang XX, Wu W. Effect of Herba leonuri on pruritus and eczema animal model. Traditional Chinese Med New Drug Clin Pharmacol. 2013; 6: 540-43.

National Pharmacopoeia Committee. The Chinese Pharmacopoeia first. Beijing, China Medical Science and Technology Press, 2010, pp 1024-26, 272-73.

Tian S, Miao MS. Analysis of the modern study of common Motherwort herb. China J Chinese Med. 2014; 1: 64-67.

Wang LJ, Zhang L, Wang Y. Motherwort analgesic anti-inflammatory effects in experimental study. When Jane Natl Phys Nat Med. 2009; 3: 645-46.

Xu C, Tian J, Yang L. Boil drinking elimination of acne model rats anti-inflammatory experiments. J Jilin Traditional Chi-nese Med. 2009; 4: 340-41.

Additional Files

Published

2016-02-20

How to Cite

Mingsan, Miao, et al. “Effects of Motherwort Alkaloids on Rat Ear Acne”. Bangladesh Journal of Pharmacology, vol. 11, no. S1, Feb. 2016, pp. S26-S30, doi:10.3329/bjp.v11iS1.25633.

Issue

Section

Research Articles