COX-2 expression correlation with invasion in human breast carcinomas and in cell line MDA-MB-231 in vitro

Authors

  • Gang-Ping Wang Department of Pathology, Rizhao People's Hospital, Affiliated Jining Medical University, Rizhao, Shandong 276826
  • Ying Chen Department of Medical Laboratory, Rizhao People's Hospital, Rizhao, Shandong 276826
  • Bai-Li An Department of general surgery, Rizhao People's Hospital, Rizhao, Shandong 276826
  • Ying Zhao Biological Science College, Jining Medical University, Rizhao, Shandong 276826
  • Bei-Bei Sui Biological Science College, Jining Medical University, Rizhao, Shandong 276826
  • Peng-Xiang Min Biological Science College, Jining Medical University, Rizhao, Shandong 276826
  • Yun Zhao Pathology Department of Clinical Laboratory Center, Tai?an Cancer Prevention and Control Institute, Tai?an, Shandong 271000
  • Yun-Ai Liang Department of Pathology, Rizhao People's Hospital, Affiliated Jining Medical University, Rizhao, Shandong 276826
  • Yi-Nuo Zhao Department of Pathology, Rizhao People's Hospital, Affiliated Jining Medical University, Rizhao, Shandong 276826

DOI:

https://doi.org/10.3329/bjp.v11iS1.25639

Keywords:

Cell line MDA-MB-231, COX-2 expression, Human breast carcinoma

Abstract

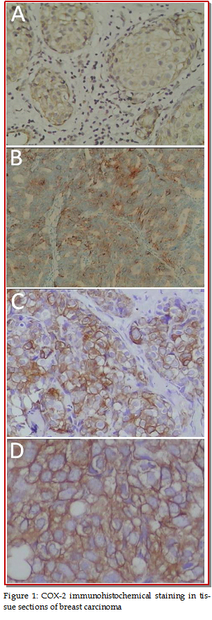
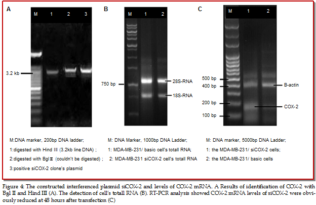
COX-2 expression by means of immunohistochemistry in 120 cases breast invasive ductal carcinomas and 60 cases benign lesions were compared with clinicopathological features and prognostic molecular markers. COX-2 role of invasiveness and chemotaxis in breast cancer cell line MDA-MB-231 by using small RNA interference (siRNA) plasmids to disrupt COX-2 expression in vitro were investigated. The results show that COX-2 immune positivity and percentage of positive cells in breast carcinomas were higher than those in benign lesions and positivity correlated significantly with HIF-1?, VEGF, the grading, metastasis and vascular invasion of carcinoma (p<0.05). This study suggests that COX-2 overexpression correlates with poor clinicopathological parameters in breast cancers, and the reduction of COX-2 expression can obviously inhibit the invasion and chemotaxis of cancer cell line MDA-MB-231 using RNA interference. The findings of the present study suggest that COX-2 overexpression in breast cancer may be considered as a negative prognostic marker.

 

Downloads

Download data is not yet available.
Abstract
340
Download
292 Read
147

Published

2016-03-03

How to Cite

Wang, Gang-Ping, et al. “COX-2 Expression Correlation With Invasion in Human Breast Carcinomas and in Cell Line MDA-MB-231 in Vitro”. Bangladesh Journal of Pharmacology, vol. 11, no. S1, Mar. 2016, pp. S43-S54, doi:10.3329/bjp.v11iS1.25639.

Issue

Section

Research Articles