Protective and curative effects of Cestrum nocturnum on rabbit kidney
DOI:
https://doi.org/10.3329/bjp.v12i3.32410Keywords:
C. nocturnum, Nephroprotective, NephrocurativeAbstract
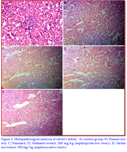
The objective of current study was to evaluate the nephroprotective and nephrocurative effects of methanolic extract of Cestrum nocturnum leaves in rabbits. Gentamicin (80 mg/kg/day) was administered intramuscularly to induce nephrotoxicity. The induction was assessed by biochemical and histopathological analysis. Methanolic extract (100, 300 or 500 mg/kg) was given orally with gentamicin for 25 days in nephroprotective study whereas in nephrocurative study, gentamicin was administered intramuscularly for first 10 days and for next 15 days only methanolic extract (100, 300 or 500 mg/kg, orally) was administered. A significant decrease was found in total oxidant status, blood urea nitrogen, serum creatinine and uric acid levels whereas albumin level increased significantly. Histopathological studies also revealed nephroprotective and nephrocurative effects. In conclusion, the methanolic extract of C. nocturnum leaves exhibited significant nephro-protective and nephrocurative effects in experimental animal.
Video Clip of Methodology:
6 min 47 sec: Full Screen Alternate
Downloads
163
104 Read
18

Published
How to Cite
Issue
Section
License
Authors who publish with this journal agree to the following terms:
- Authors retain copyright and grant the journal right of first publication with the work simultaneously licensed under a Creative Commons Attribution License that allows others to share the work with an acknowledgement of the work's authorship and initial publication in this journal.
- Authors are able to enter into separate, additional contractual arrangements for the non-exclusive distribution of the journal's published version of the work (e.g., post it to an institutional repository or publish it in a book), with an acknowledgement of its initial publication in this journal.
- Authors are permitted and encouraged to post their work online (e.g., in institutional repositories or on their website) prior to and during the submission process, as it can lead to productive exchanges, as well as earlier and greater citation of published work (See The Effect of Open Access).