Labisia pumila improves wound healing process in ovariectomized rat model
DOI:
https://doi.org/10.3329/bjp.v13i1.34473Keywords:
Labisia pumila, Ovariectomized, Rat, Wound healingAbstract
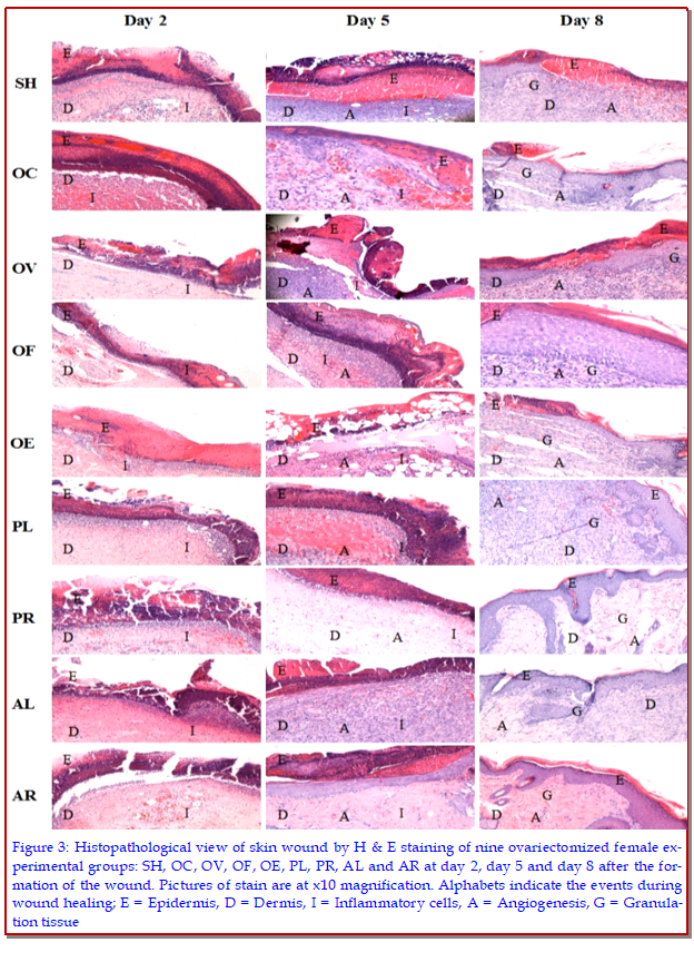
The purpose of this study was to determine the wound healing effect of Labisia pumila in the ovariectomized rat model. Ninety-nine Sprague Dawley female rats equally divided into nine groups; where five were control groups, and four were treated groups. The dressing was changed daily, starting from the wound induction until complete healing. The percentage of wound contraction was measured on day 0, 2, 5, 8, 9, 10, 11, 12 and 13. Three rats were sacrificed from each group on day 2, 5 and 8 respectively for evaluating of histological assessments. Wounds dressed with extract showed considerable healing and significantly healed faster compared to all control groups (p<0.05). Moreover, histological analysis revealed remarkable reduction in the scar width correlated with the enhanced collagen content and fibroblast cells, accompanied by a reduction of inflammatory cells in the granulation tissues. In conclusion, L. pumila may promote wound healing in postmenopausal rat model.
Video Clip of Methodology:
Ovariectomy and punch biopsy: 3 min 11 sec: Click to Watch
Downloads
122
103 Read
28

Published
How to Cite
Issue
Section
License
Authors who publish with this journal agree to the following terms:
- Authors retain copyright and grant the journal right of first publication with the work simultaneously licensed under a Creative Commons Attribution License that allows others to share the work with an acknowledgement of the work's authorship and initial publication in this journal.
- Authors are able to enter into separate, additional contractual arrangements for the non-exclusive distribution of the journal's published version of the work (e.g., post it to an institutional repository or publish it in a book), with an acknowledgement of its initial publication in this journal.
- Authors are permitted and encouraged to post their work online (e.g., in institutional repositories or on their website) prior to and during the submission process, as it can lead to productive exchanges, as well as earlier and greater citation of published work (See The Effect of Open Access).