Nephroprotective effect of Berberis baluchistanica against gentamicin-induced nephrotoxicity in rabbit
DOI:
https://doi.org/10.3329/bjp.v13i3.36621Keywords:
Berberis baluchistanica, Gentamicin, NephroprotectiveAbstract
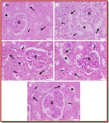
The present study was conducted to explore the protective effect of B. baluchistanica against gentamicin-induced renal toxicity in rabbits. Phytochemical investigations lead to the isolation of berberine and palmatine. The crude hydro-methanolic extract at various doses (100, 200 and 300 mg/kg body weight) elicited strong nephroprotective effects by restoring various biomarkers which were deranged by gentamicin such as creatinine, urea, serum uric acid levels (p<0.001) in plasma and urine output creatinine clearance, urinary protein and γ-glutamyl transferase level (p<0.001) in urine in a dose dependent manner. The mediators involved in oxidative stress such malondialdehyde, reduced glutathione, glutathione peroxidase, and catalase levels were significantly (P˂0.05-0.001) modulated in kidney tissue homogenate. Correspondingly, there is a significant (P<0.05) recovery in kidney weight and % loss in body weight compare to GM group. From these results, it is possible that B. baluchistanica exhibited protective effect mediated through the presence of berberine and palmatine.
Video Clip of Methodology:
Histopathology: 7 min 24 sec Click to watch
Downloads
118
106 Read
71 XML
2

Published
How to Cite
Issue
Section
License
Authors who publish with this journal agree to the following terms:
- Authors retain copyright and grant the journal right of first publication with the work simultaneously licensed under a Creative Commons Attribution License that allows others to share the work with an acknowledgement of the work's authorship and initial publication in this journal.
- Authors are able to enter into separate, additional contractual arrangements for the non-exclusive distribution of the journal's published version of the work (e.g., post it to an institutional repository or publish it in a book), with an acknowledgement of its initial publication in this journal.
- Authors are permitted and encouraged to post their work online (e.g., in institutional repositories or on their website) prior to and during the submission process, as it can lead to productive exchanges, as well as earlier and greater citation of published work (See The Effect of Open Access).