Ameliorating effect of Berberis lycium root bark extracts against cisplatin-induced nephropathy in rat
DOI:
https://doi.org/10.3329/bjp.v13i3.36705Keywords:
Berberis lycium, Cisplatin, NephropathyAbstract
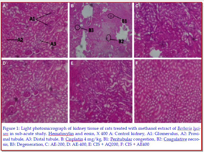
The aim of this study was to investigate the sub-acute nephroprotective effect of Berberis lycium root bark extracts against cisplatin-induced nephrotoxicity. Aqueous and methanol extracts (200 and 400 mg/kg) were co-administered with cisplatin (4 mg/kg) for 19 days. Results showed that cisplatin significantly (ap<0.05) raised the serum creatinine, uric acid, urea level as well as tissue MDA level as compared to control group. It decreased GST activity, tGSH and catalase activity in rats. Both extracts significantly reduced the serum creatinine, urea and uric acid levels. Moreover, GST, CAT activity and tGSH content were significantly (p<0.05) increased and MDA level was decreased. Histopathological examination showed that both extracts efficiently reversed the morphological changes and damage induced by cisplatin. It is concluded that both extracts of B. lycium root bark possess nephroprotective effect against cisplatin-induced nephrotoxicity.
Video Clip of Methodology:
Histological study of rat kidney: 14 min 02 sec Click to watch
Downloads
131
127 Read
27

Published
How to Cite
Issue
Section
License
Authors who publish with this journal agree to the following terms:
- Authors retain copyright and grant the journal right of first publication with the work simultaneously licensed under a Creative Commons Attribution License that allows others to share the work with an acknowledgement of the work's authorship and initial publication in this journal.
- Authors are able to enter into separate, additional contractual arrangements for the non-exclusive distribution of the journal's published version of the work (e.g., post it to an institutional repository or publish it in a book), with an acknowledgement of its initial publication in this journal.
- Authors are permitted and encouraged to post their work online (e.g., in institutional repositories or on their website) prior to and during the submission process, as it can lead to productive exchanges, as well as earlier and greater citation of published work (See The Effect of Open Access).