Nephroprotective effect of Costus pictus extract against doxorubicin-induced toxicity on Wistar rat
DOI:
https://doi.org/10.3329/bjp.v14i2.39992Keywords:
Costus pictus, Doxorubicin, Histology, Nephroprotective, Wistar ratAbstract
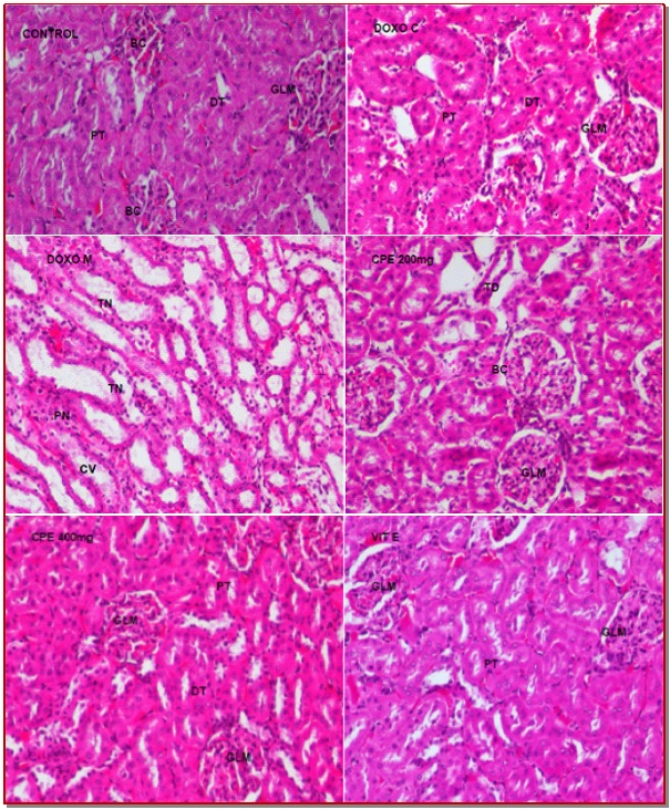
The present study was conducted to evaluate the nephroprotective effect of a medicinal herb Costus pictus against doxorubicin-induced toxicity. Rats were divided into six groups and treated with doxorubicin and ethanol extract of the C. pictus. Doxorubicin was administered intraperitoneally with a single dose (4 mg/kg) per week for three weeks. The extract (200 or 400 mg/kg) was administered orally for 4 weeks to two doxorubicin groups. Significant changes of the serum kidney markers, albumin, urea, uric acid and creatinine, and glutathione peroxidase, glutathione–S-transferase, catalase, superoxide dismutase, reduced glutathione and lipid peroxides in the kidney of doxorubicin-treated rat were observed. Histological features were also severely affected. However, biochemical and histological changes in the extract-treated rat were non-significant, showing that the herb is nephroprotective. The effects were comparable to the anti-oxidant vitamin E.
Video Clip of Methodology:
Histology Techniques: 12 min 6 sec: Click to watch
Downloads
258
233 Read
50
Published
How to Cite
Issue
Section
License
Authors who publish with this journal agree to the following terms:
- Authors retain copyright and grant the journal right of first publication with the work simultaneously licensed under a Creative Commons Attribution License that allows others to share the work with an acknowledgement of the work's authorship and initial publication in this journal.
- Authors are able to enter into separate, additional contractual arrangements for the non-exclusive distribution of the journal's published version of the work (e.g., post it to an institutional repository or publish it in a book), with an acknowledgement of its initial publication in this journal.
- Authors are permitted and encouraged to post their work online (e.g., in institutional repositories or on their website) prior to and during the submission process, as it can lead to productive exchanges, as well as earlier and greater citation of published work (See The Effect of Open Access).