Effects of shenkang injection on renal angiogenesis in mice with unilateral ureteral obstruction
DOI:
https://doi.org/10.3329/bjp.v15i1.42052Keywords:
Angiogenesis, Endothelial growth factor, Fibrosis, Renal, Shenkang, Ureteral obstructionAbstract
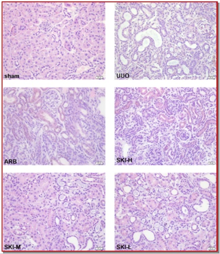
This study aimed to investigate effects of shenkang injection on angiogenesis in mice with renal fibrosis. C57BL/6J mice after unilateral ureteral obstruction were administrated with different doses of shenkang injection for two weeks. Losartan-administrated mice and Sham-operation mice were as positive and negative controls, respectively. Renal function and vasculature changes were observed, and expressions of VEGF and VEGFR2 were detected. Shenkang injection reduced serum levels of urea nitrogen, creatinine and cystatin C. Shenkang injection alleviated the loss of microvessels, decreased the deposition of collagen fibers, and increased expressions of VEGF and VEGFR2 in the obstructed kidney. These findings indicate that shenkang injection alleviates renal dysfunction and fibrotic changes in mice with renal fibrosis by regulating renal angiogenesis.
Video Clip of Methodology:
Renal Vasculature by Angiography: 6 min 41 sec: Click to watch
Downloads
241
161 Read
68
Published
How to Cite
Issue
Section
License
Authors who publish with this journal agree to the following terms:
- Authors retain copyright and grant the journal right of first publication with the work simultaneously licensed under a Creative Commons Attribution License that allows others to share the work with an acknowledgement of the work's authorship and initial publication in this journal.
- Authors are able to enter into separate, additional contractual arrangements for the non-exclusive distribution of the journal's published version of the work (e.g., post it to an institutional repository or publish it in a book), with an acknowledgement of its initial publication in this journal.
- Authors are permitted and encouraged to post their work online (e.g., in institutional repositories or on their website) prior to and during the submission process, as it can lead to productive exchanges, as well as earlier and greater citation of published work (See The Effect of Open Access).