Third Ventricular and Interpeduncular Fossa Tubercular Abscess With Triventriculomegaly - Ventriculoscopic Surgical Management
DOI:
https://doi.org/10.3329/jom.v14i1.11415Keywords:
Third ventricular, Tubercular abscess, Ventriculoscopic surgical managementAbstract
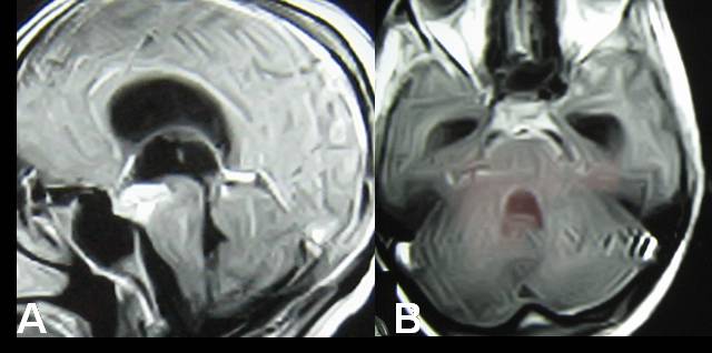
Intracranial tuberculomas are rather common lesions in developing world.Tuberculomas are usually located in cerebellum, basal ganglia and cerebral hemispheres, particularly in frontoparietal region.Less common sites include the corpus callosum, quadrigeminal plate,the cerebellopontine angle, the retro-orbital region, the anterior optic pathway and the supraseller region.The central nervous system (CNS) involvement comprises approximately 1015% of all tuberculous infections. Brain tuberculosis is usually parenchymal. Intraventricular tuberculosis is very rare and only little number of cases has been reported. Intraventricular tubercular abscess is further rarer. Here we report a case of third ventricular tubercular abscess with triventriculomegaly that was managed by ventriculoscopic drainage and third ventriculostomy though preoperative diagnosis & surgical planning was different.
DOI: http://dx.doi.org/10.3329/jom.v14i1.11415
J MEDICINE 2013; 14 : 72-73
Downloads
407
302
Downloads
Published
How to Cite
Issue
Section
License
Authors who publish with this journal agree to the following terms:- Authors retain copyright and grant the journal right of first publication with the work simultaneously licensed under a Creative Commons Attribution License that allows others to share the work with an acknowledgement of the work's authorship and initial publication in this journal.
- Authors are able to enter into separate, additional contractual arrangements for the non-exclusive distribution of the journal's published version of the work (e.g., post it to an institutional repository or publish it in a book), with an acknowledgement of its initial publication in this journal.
- Authors are permitted and encouraged to post their work online (e.g., in institutional repositories or on their website) prior to and during the submission process, as it can lead to productive exchanges, as well as earlier and greater citation of published work (See The Effect of Open Access).