Giant ethmoidal sinus osteoma with intraorbital extension: a case report
DOI:
https://doi.org/10.3329/bjms.v14i1.20925Keywords:
large osteoma, ethmoid sinus, intraorbital extension, computed tomographyAbstract
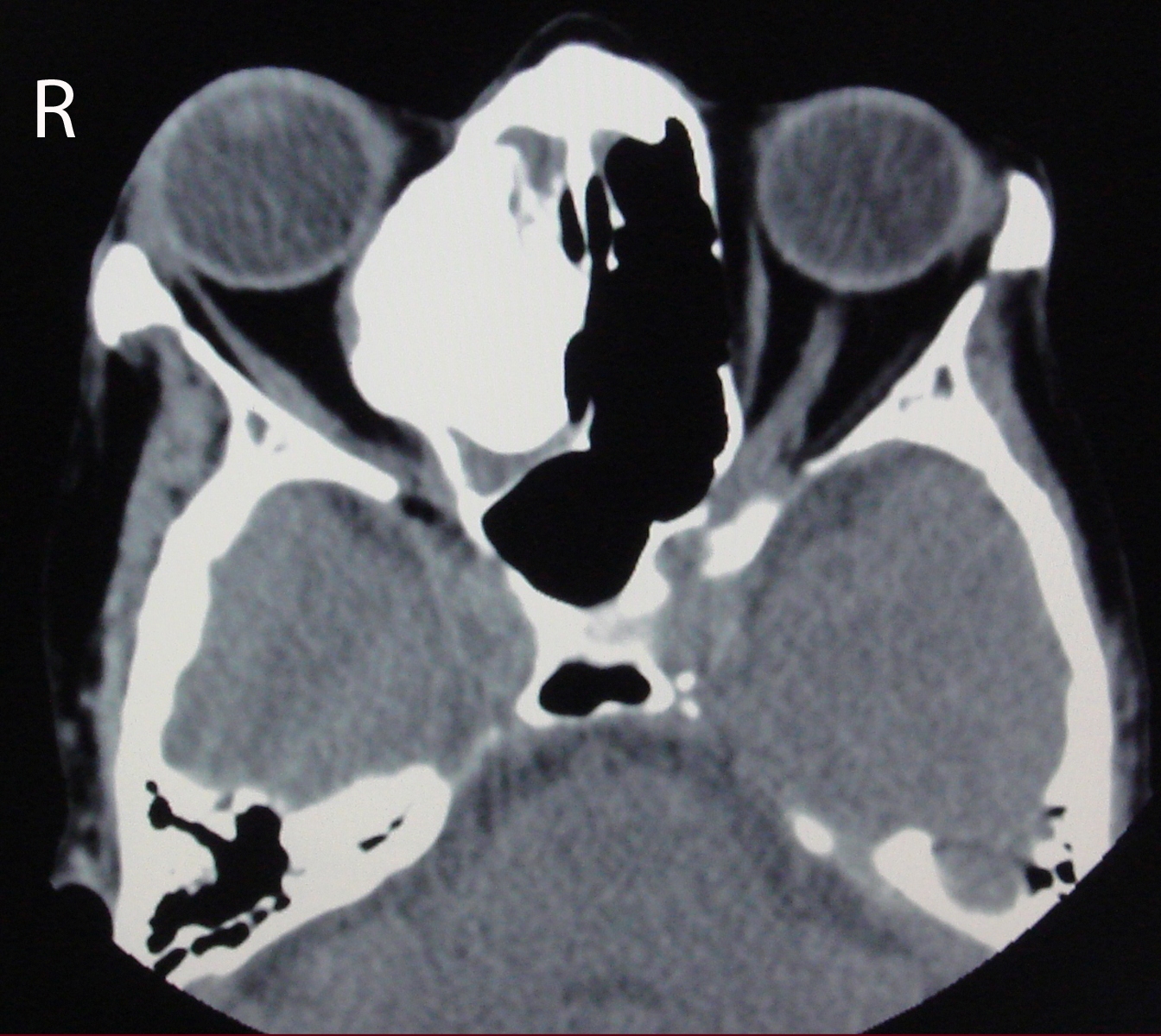
Osteoma is the most frequent benign tumor of paranasal sinuses. Usually osteomas are asymptomatic and discovered incidentally during radiological imaging for other reasons. A giant osteoma with intraorbital extension is rare. Plain radiograph may be useful; however CT scan is the best modality of investigation for diagnosing and treatment planning. In asymptomatic osteomas, serial follow-up can be done. Surgery is performed in the presence of symptoms and signs. We report a case of 60 years old woman with a large osteoma of right ethmoid sinus extending into the ipsilateral orbital cavity.
DOI: http://dx.doi.org/10.3329/bjms.v14i1.20925
Bangladesh Journal of Medical Science Vol.14(1) 2015 p.95-97
Downloads
423
330
Downloads
Published
How to Cite
Issue
Section
License
Authors who publish in the Bangladesh Journal of Medical Science agree to the following terms that:
- Authors retain copyright and grant Bangladesh Journal of Medical Science the right of first publication of the work.

Articles in Bangladesh Journal of Medical Science are licensed under a Creative Commons Attribution 4.0 International License CC BY-4.0.This license permits use, distribution and reproduction in any medium, provided the original work is properly cited.- Authors are able to enter into separate, additional contractual arrangements for the distribution of the journal's published version of the work (e.g., post it to an institutional repository or publish it in a book), with an acknowledgement of its initial publication in this journal.
- Authors are permitted to post their work online (e.g., in institutional repositories or on their website) as it can lead to productive exchanges, as well as greater citation of published work.